主诉:右膝关节疼痛活动受限9小时。现病史:9小时前骑摩托时发生车祸,患者当时头面部及右下肢受创,患者神志尚清楚,患者家属急送患者到当地黑山县医院,行头部CT及右下肢DR检查,头部CT提示:右颞部硬膜下血肿可能性大,右下肢DR提示右侧髌骨粉碎性骨折,给予对症处理后患者症状未见好转.为求进一步治疗,患者家属急送患者到我院急诊,行头部CT检查提示右颞部硬膜下血肿可能性大.为进一步治疗,将患者转入我科.

专科查体:患者神志清楚,定位准确,额纹对称,闭目有力,双侧瞳孔等大正圆,D=3.5mm,对光反射灵敏,双侧眼球各方向运动充分,无复视及眼震。双侧鼻唇沟对称,示齿口角不偏,伸舌居中。右下肢髌骨骨折,左下肢肌力4级,肌张力正常,双上肢肢肌力5级,肌张力正常,深浅感觉粗查未见异常。右侧巴氏征未引,左侧巴氏征(-)。

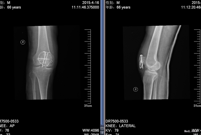
中医诊断:右髌骨骨折(气滞血瘀)西医诊断:右髌骨骨折 治疗:切开复位张力带内固定术。中医辨证论治:根据骨伤科三期辨证理论,早期因瘀血停滞影响骨痂生长,故以活血化瘀,消肿止痛为 主,应用桃红四物汤;中后期补益肝肾,补气养血,应用愈骨胶囊等药物应用。现患者属于骨折早期, 可运用桃红四物汤加减对症治疗,方药如下: 桃仁10g 红花10g 当归12g 川芎12g 赤芍12g 穿山甲6g 柴胡12g 黄芩10g 香附12g 延胡索15g 续断15g 生地12g 甘草6g 3剂 用法:每日一剂,水煎服400ml,分早晚两次温服。 中医调护:避风寒,慎起居,忌生冷,畅情志。
术后复查X线片示骨折复位良好,内固定在位且牢靠。根据骨伤科三期辨证理论,早期因瘀血停滞影响骨 痂生长,故以活血化瘀,消肿止痛为主,应用桃红四物汤。术后证属肝肾亏虚,气血不足,治以补益肝 肾,补气养血,应用愈骨胶囊等药物促进骨折愈合。术后嘱患者继续石膏托外固定,注意陪护,3月内扶 双拐、按指导患肢不负重功能锻炼;休息3个月,加强营养,促进骨折愈合;继续中药应用,促进骨折愈 合;定期复查,(1月、3月、6月);不适随诊。 本病例中医药应用结合手术复位,早期将骨折复位, 中医药早期应用活血化瘀、消肿止痛,可迅速缓解患者症状。中医药中后期应用可促进骨折愈合,加快 术后恢复,可使患者获得满意的术后疗效。