主诉:右膝关节疼痛活动受限2小时。现病史:2小时前马车坠落,摔伤致左膝关节疼痛、流血、活动受限,患者于当地医院行左膝X线检查,提示:左髌骨骨折,包扎,为进一步处理。患者现无意识障碍,无视物不清,无头晕、头痛,无恶心、呕吐,无胸闷及呼吸困难,无腹胀、腹痛。现平素饮食睡眠良好,二便如常。发病近期体重无明显下降。


专科查体::左膝见一长约10cm的开放口,压痛(+)。未触及骨擦感及异常活动,未闻及骨擦音,患肢无明显 麻木,左下肢血运良好,余肢体查体未见明显异常

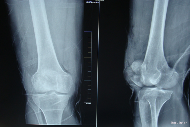
中医诊断:右髌骨骨折额(气滞血瘀)西医诊断:右髌骨骨折 治疗:切开复位张力带内固定术。中医辨证论治:根据骨伤科三期辨证理论,早期因瘀血停滞影响骨痂生长,故以活血化瘀,消肿止痛为 主,应用桃红四物汤;中后期补益肝肾,补气养血,应用愈骨胶囊等药物应用。现患者属于骨折早期, 可运用桃红四物汤加减对症治疗,方药如下: 桃仁10g 红花10g 当归12g 川芎12g 赤芍12g 穿山甲6g 柴胡12g 黄芩10g 香附12g 延胡索15g 续断15g 生地12g 甘草6g 3剂 用法:每日一剂,水煎服400ml,分早晚两次温服。 中医调护:避风寒,慎起居,忌生冷,畅情志。
术后复查X线片示骨折复位良好,内固定在位且牢靠。根据骨伤科三期辨证理论,早期因瘀血停滞影响骨 痂生长,故以活血化瘀,消肿止痛为主,应用桃红四物汤。术后证属肝肾亏虚,气血不足,治以补益肝 肾,补气养血,应用愈骨胶囊等药物促进骨折愈合。术后嘱患者继续石膏托外固定,注意陪护,3月内扶 双拐、按指导患肢不负重功能锻炼;休息3个月,加强营养,促进骨折愈合;继续中药应用,促进骨折愈 合;定期复查,(1月、3月、6月);不适随诊。 本病例中医药应用结合手术复位,早期将骨折复位, 中医药早期应用活血化瘀、消肿止痛,可迅速缓解患者症状。中医药中后期应用可促进骨折愈合,加快 术后恢复,可使患者获得满意的术后疗效。