下载或打开 医联APP 查看完整评论
立即下载
打开APP
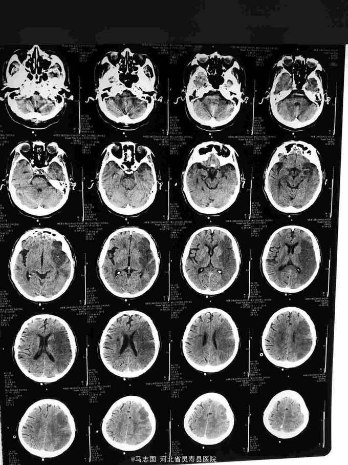
被发现意识不清2小时入院。病例特点1.老年男性2.既往”慢性阻塞性肺疾病,肺源性心脏病"20余年,"高血压病史"10余年。3.患者于2小时前,被家人发现卧于地上,意识不清,呼之不应,未见抽搐,口周未见呕吐物,急打120接入院,急诊急查头CT:双侧基底节,双侧额叶多发脑梗塞,给予醒脑静静点同时,为进一步诊治收住院。



T35.0℃ P67次/分 R16次/分 BP148/76mmHg,浅昏迷,查体不能合作,双瞳孔正大等圆,对光反射灵敏,不能配合张口伸舌,桶状胸,双肺呼吸音低,未闻及明显干湿性啰音,心音低钝,律齐,未闻及杂音,腹部未见明显异常,双下肢无水肿,疼痛刺激左上肢可定位,右侧肢体无活动,右侧肢体肌张力高,右巴氏征阳性,左侧巴氏征阴性。
1.脑梗死2.高血压3级 极高危3.慢性阻塞性肺疾病 肺源性心脏病。给予抑制血小板聚集,稳定动脉斑块,抗凝,促醒,营养脑神经,脱水降颅压等治疗,第二天复查头胸CT:1.双侧基底节区多发脑梗塞2.左侧大面积脑梗塞3.慢支,肺气肿4.双下肺感染。



这个病人一开始因发病时间短,梗死未能显影,大面积脑梗死在抗凝方面,大家怎么权衡,一开始可否考虑溶栓,或者手术取栓,患者因为肺功能差,第3天直接气管插管呼吸机辅助呼吸了。