打开应用

AVM

陈医师   海南省人民医院

主诉 病史

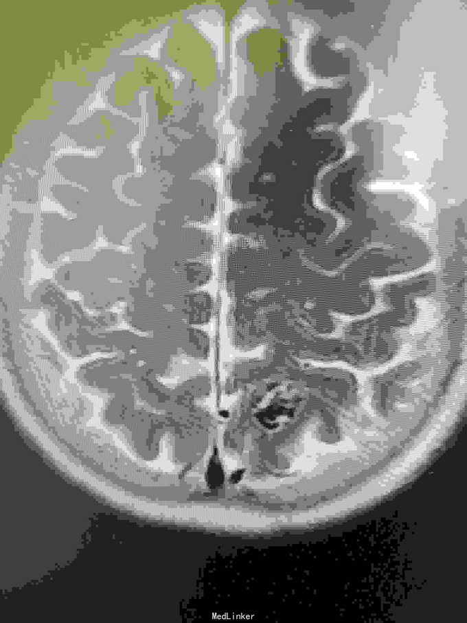
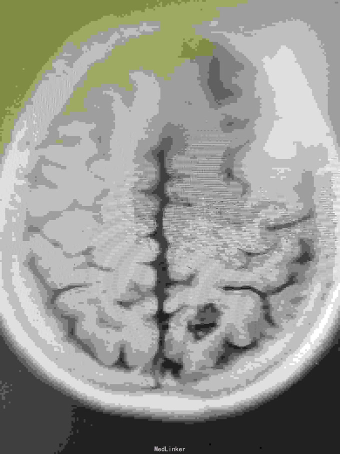
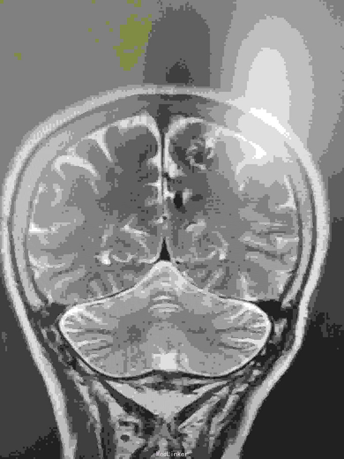
女性,65岁。入院前半年查出AvM,半年后出血入院。

查体 辅查

神清,视力视野正常,右侧轻偏瘫。

诊断 处理

左枕顶区AVM。 左大脑后及左大脑前供血,深部静脉回流。

随访 讨论

AVM治疗如能栓塞治疗创伤较小,手术切除虽较完全,但损伤是不可突视的问题。

发布于 15-12-07 08:54

3 个评论

发送