下载或打开 医联APP 查看完整评论
立即下载
打开APP
打开应用
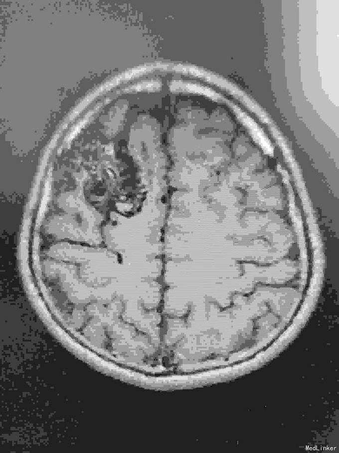
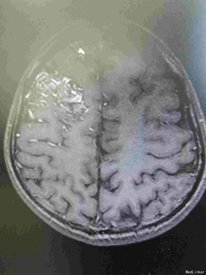
右额AVM
陈医师
海南省人民医院
主诉 病史
男,23岁。右额AVM。分次治疗。
发布于 15-10-21 10:47
医联推荐你看
右颞额失活脑组织
右额顶叶及右基底节
右额部肿胀6年
共
5
个评论
查看更多评论
发送
0