打开应用

大骨节病(外伤来就诊)

赵助教   东平县第一人民医院
软组织损伤

主诉 病史

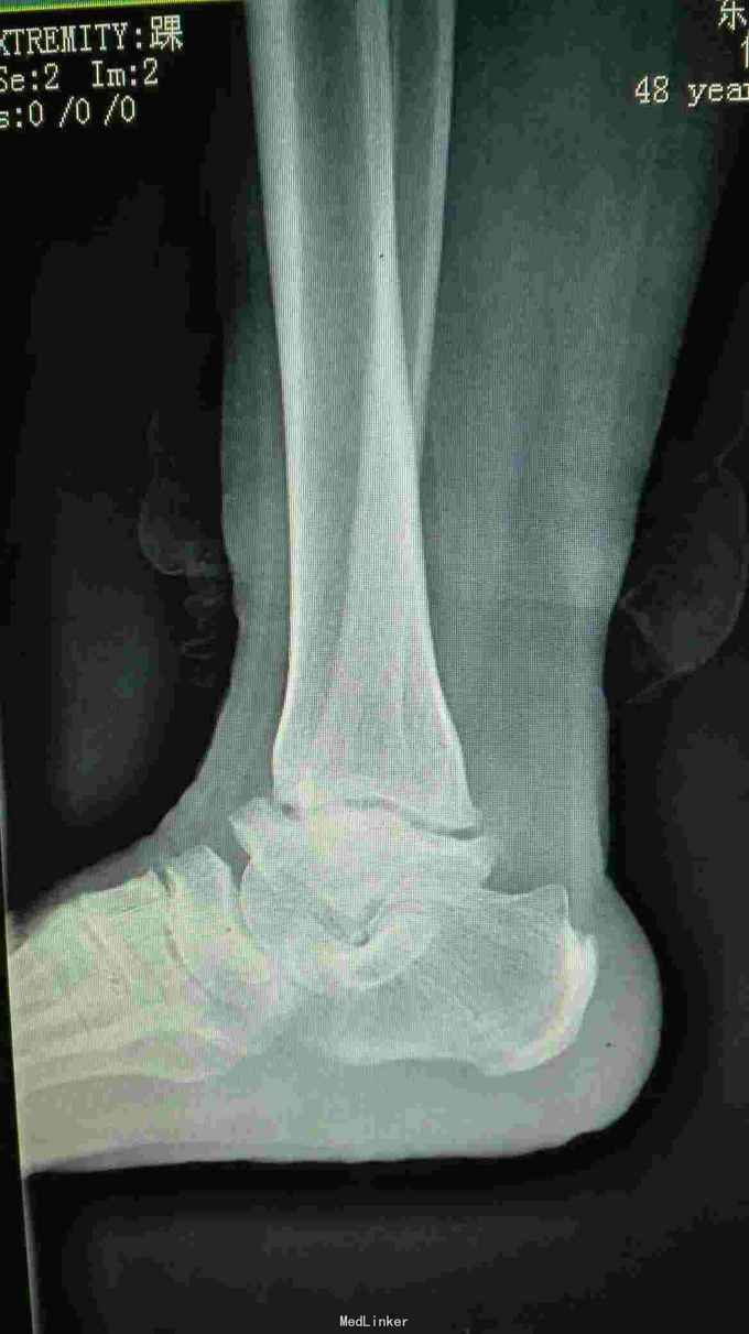
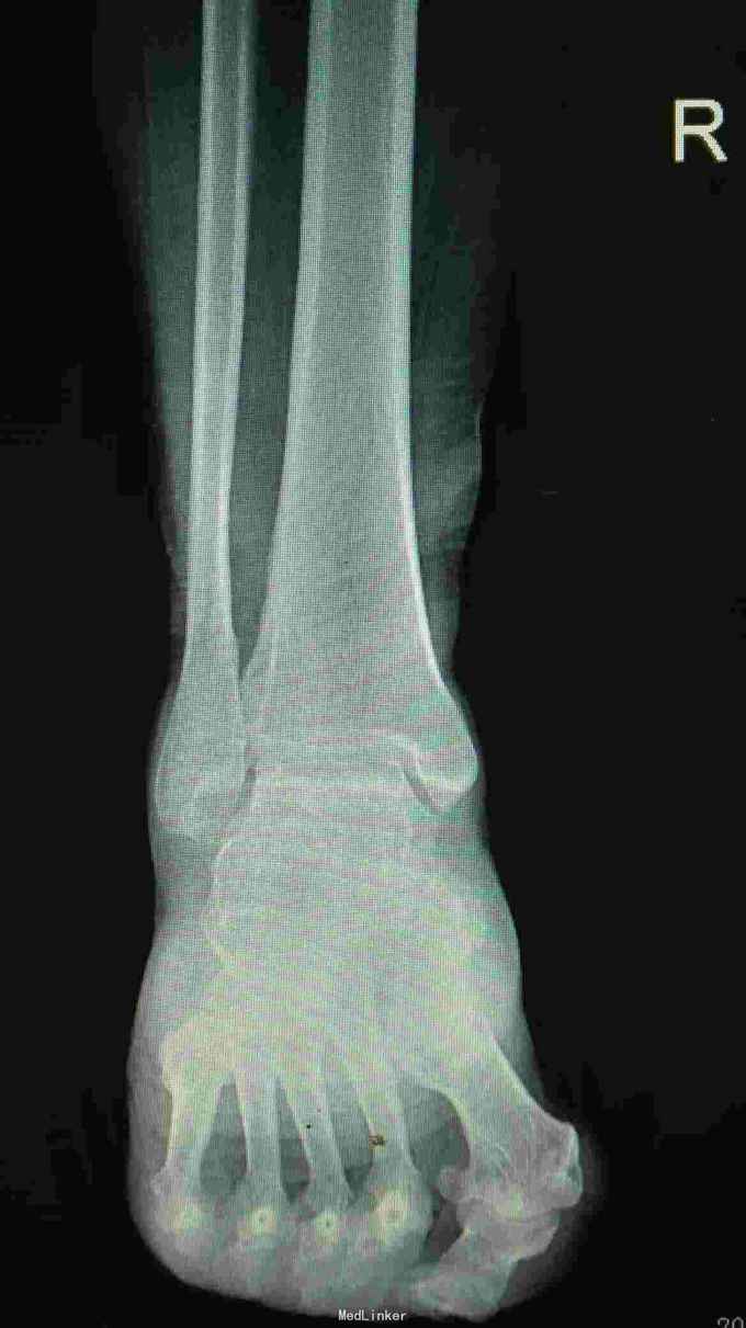
病人骑电动车摔倒,右脚踝扭伤,来院就诊。现在感觉疼痛加重。以往有疼痛感2年,自己感觉脚踝相对别人较粗,并偶有活动受限。在东北生活10年。

查体 辅查

拍右踝关节正侧位片:1.未见明显外伤性改变 2.考虑大骨节病

诊断 处理

诊断:1.右踝关节软组织损伤 2.大骨节病 治疗:嘱病人少活动,多休息,必要时将患侧腿抬高,先用冷毛巾冰敷1日。再配合消肿止痛药物治疗。

发布于 15-12-01 21:42

0 个评论

暂无评论
发送