下载或打开 医联APP 查看完整评论
立即下载
打开APP
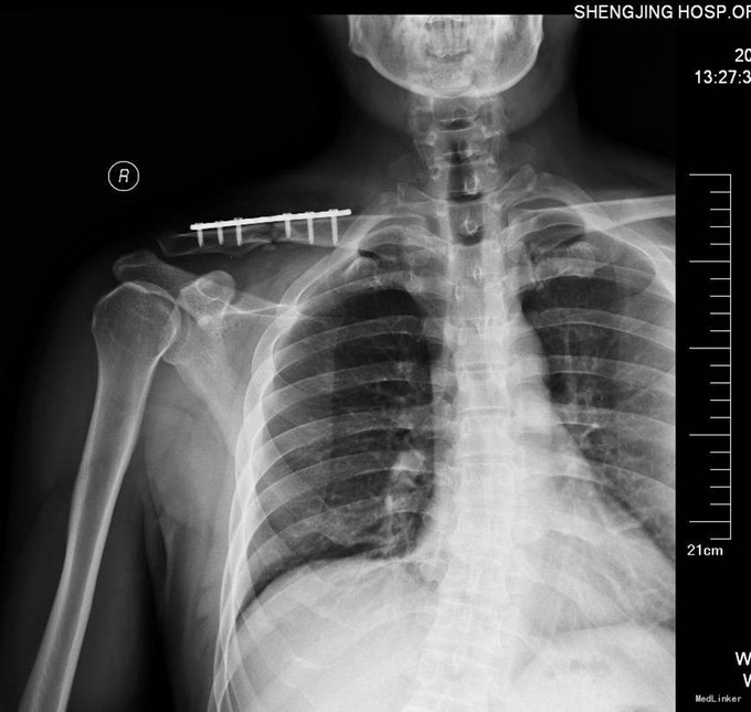
主诉:骑车摔伤后右肩部疼痛肿胀4小时 现病史:患者及家属自诉于2013年6月22日上午9点骑自行车摔倒致右肩部疼痛,肿胀,活动受限,当时无意识不清,到新民市当地医院,行X线片检查示:右锁骨骨折,未行治疗。现患者为求进一步治疗来我科,以“右锁骨骨折”为诊断收住入院。伤来患者无头痛及发热,无咳嗽咳痰,无腹痛及恶心呕吐,饮食睡眠可,大小便正常。

专科查体:右上肢吊臂带固定中,右肩部轻微肿胀,右锁骨处压痛(+),活动受限,骨擦感存在,右上肢无明显麻木,桡尺动脉清楚,各手指活动无受限。

患者入院后完善相关生化检查,完善胸片及心电图等,查无明显手术禁忌症后急诊全麻下行左锁骨骨折切开复位内固定术。术后患者第二天退院。
