下载或打开 医联APP 查看完整评论
立即下载
打开APP
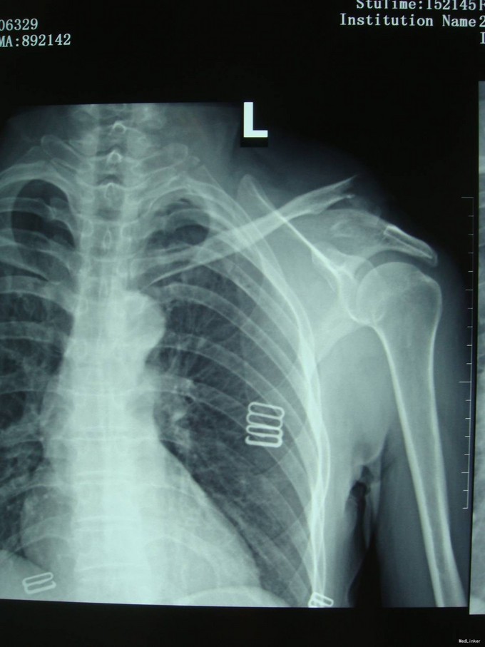
主诉:车祸外伤后9小时 患者自述2015-10-02车祸,导致左肩部受伤,疼痛,肿胀,肩关节活动受限,急送到苏家屯中心医院,诊断为“左锁骨骨折,气胸”,建议转院,为求进一步治疗来我院,诊断为“左锁骨骨折”,并收入我科,患者自受伤以来,无发热,呼吸略困难,无腹痛腹泻,饮食睡眠正常,大小便未见异常。

患者平车入病房,左肩部明显肿胀,压痛(+),骨擦音及骨擦感(+),左肩关节活动受限,左上肢感觉未见异常,左手指活动可,左手肌力5级,左桡动脉搏动可触及。


患者入院后完善相关检查,胸部CT报左气胸,请胸外科行闭式引流后,患者血氧约97%。择期行手术治疗。无其他手术禁忌症后行左锁骨骨折切开复位内固定术,术后3天后闭式引流液减少到10ml予以拔除。术后14天后出院。
