打开应用

继发龋的危害

徐医师   中国人民解放军北部战区空军医院

主诉 病史

主诉:右上后牙疼痛不适数日 现病史:数日来,患者左上后牙曾行树脂充填,今日来疼痛不适影响进食睡眠来诊。 既往史:健康 过敏史:无

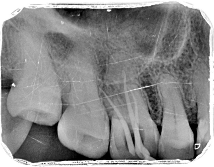
查体 辅查

临床检查:16牙合面充填物完好,探疼(+),冷(++),叩(-),松动度(-),无窦道,牙周正常. 辅助检查:X线示16龋坏累积髓腔,根尖周牙周膜略增宽。

诊断 处理

诊断:16继发龋伴牙髓炎 治疗:经患者知情同意后,16局麻去除原有充填物降牙合,开髓拔髓寻找根管口,建立直线通路,扩通根管,确定工作长度。S3/EDTA凝胶镍钛器械,低浓度次氯酸钠冲洗根管,预备至35/04,氢氧化钙诊间封药,一周后复诊,试主尖X线示恰充,试干根管,导AH-PLUS糊剂,VDW热压胶垂直加压根充,术后见根管恰充,暂封观察嵌体修复。

随访 讨论

随访:患者术后无不适感,树脂充填治疗是一定要去净腐质防止继发龋的发生。

发布于 15-09-30 13:48

0 个评论

暂无评论
发送