下载或打开 医联APP 查看完整评论
立即下载
打开APP
主诉:双手第2、3指尖麻木1年,加重伴双下肢沉重感4月。 病史:1年前出现双手食指、中指指尖麻木,未予以治疗,4月前出现双下肢沉重感,予以腰椎按摩后双下肢症状有所缓解,但双下肢仍有沉重感,右下肢较重,在外院诊治为颈椎病,建议手术治疗,患者拒绝,为求进一步诊治,特来我院就诊,门诊拟混合型颈椎病收入我科住院治疗。






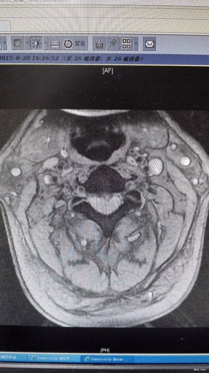
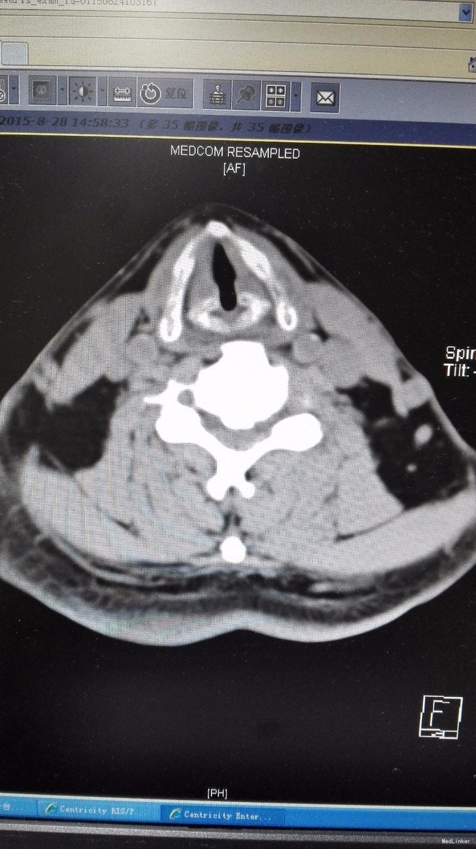
查体:双手麻木感,肱三头肌肌腱反射活跃,左侧髂腰肌4级,臂丛牵拉实验阴性,椎间孔挤压实验阴性。 辅查:CT:C2-7椎间盘突出,继发性椎管狭窄,OPLL,OFL。




诊断:混合型颈椎病(脊髓型+神经根型) 治疗:颈后路3-7单开门椎管扩大成型术(锚定法)
术后患者恢复良好,定期复诊。