打开应用

混合型颈椎病

姚医师   吉林大学中日联谊医院
混合型颈椎病 颈椎病

主诉 病史

57岁老年女性,一月前出现颈部不适伴右上肢酸胀,10天前上诉症状加重伴放射性右上肢疼痛麻木,保守治疗无效。

查体 辅查

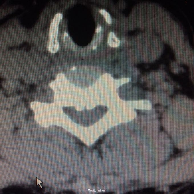
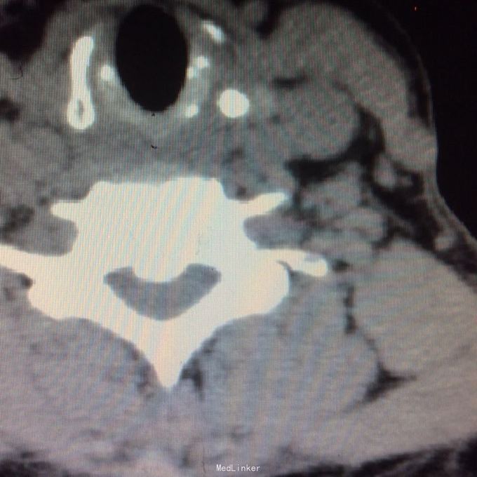
压头及右侧臂丛牵拉试验阳性,无明显浅感觉减退,右上肢肱三头肌肌力2级,双上肢腱反射活跃,双上肢病理征阳性 颈椎ct见颈椎6、7水平后纵韧带骨化,继发相应的椎管水平狭窄,自带核磁见颈椎2-7间盘向后突出,硬膜囊前缘受压

诊断 处理

混合型颈椎病 前路act

随访 讨论

患者压迫解除及时,术后恢复满意

发布于 15-10-28 22:18

4 个评论

发送