下载或打开 医联APP 查看完整评论
立即下载
打开APP
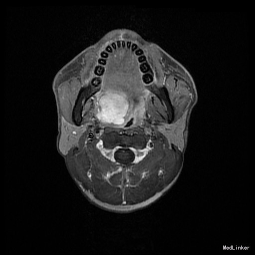
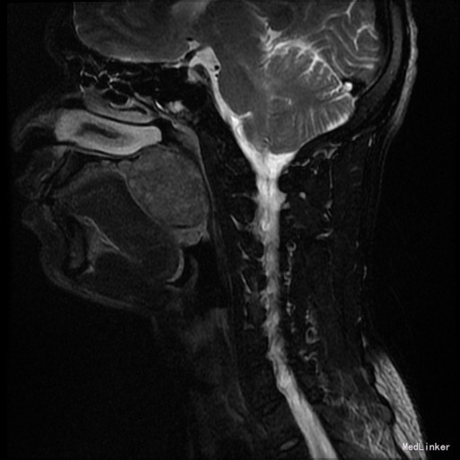
患者:男,42岁 主诉:发现右侧软腭肿物7年余。 病史:患者诉7年余前发现右侧软腭肿物,渐进性增大,无咽痛邓特殊不适。
查体:右侧软腭至硬腭处见一肿物,约5*3cm,质硬,固定,边界欠清,表面粘膜光滑。 辅助检查:外院颌面CT提示:右侧软腭实性占位,并累及鼻咽、口咽壁,建议MRI增强检查。
入院诊断:咽旁肿物(右侧软腭肿物性质待查) 治疗:入院后咽部MRI示:软腭右部软组织肿块,性质待定,鼻咽腔及口咽腔明显变窄。,未见手术禁忌,遂于全麻下行“右侧咽旁间隙肿物切除术”,术程顺利,术后未见并发症。病理:多形性腺瘤。





1、多形性腺瘤又称混合瘤(mixed tumor),因肿瘤中含有肿瘤性上皮组织、黏液样组织或软骨样组织,组织学形态呈显著的多形性及混合性,故命名为多形性腺瘤或混合瘤。 2、多形性腺瘤是大、小涎腺中占首位的良性肿瘤。 3、治疗:标准术式是采取分离保存面神经的腮腺腺叶及肿瘤切除术。