打开应用

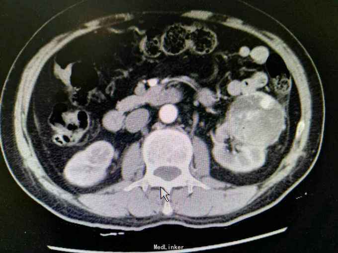
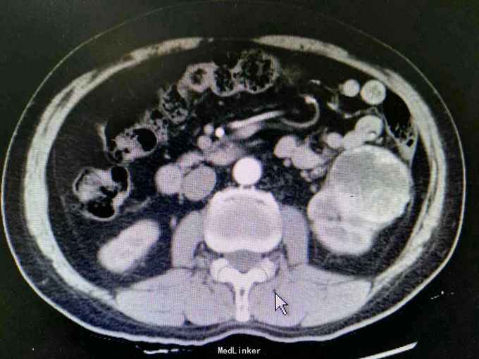
左肾肿瘤

黎医师   粤北人民医院
肾肿瘤 肾肿物

主诉 病史

反复左腰酸痛不适5年,无血尿,无尿频尿急尿痛。外院B超:左肾囊肿。入院治疗。

查体 辅查

体查未见明显异常。 CT:左肾外生性肿物,6.5x5.7cm,考虑肾癌 ECT:双肾功能良好。

诊断 处理

诊断:左肾肿物 肾癌? 治疗:拟行腹腔镜左肾部分切除术。

随访 讨论

讨论:肿瘤较大,适宜行部分切除还是根治性切除?

发布于 15-11-30 17:33

0 个评论

暂无评论
发送