下载或打开 医联APP 查看完整评论
立即下载
打开APP
患者,女,21岁。 主诉:体检发现左肾占位4月余。 现病史:患者于患者约4月前单位行体检时发现左肾占位,在外曾于当地医院行CT检查提示“左肾良性肿块,不排除肾嗜酸细胞瘤可能”。
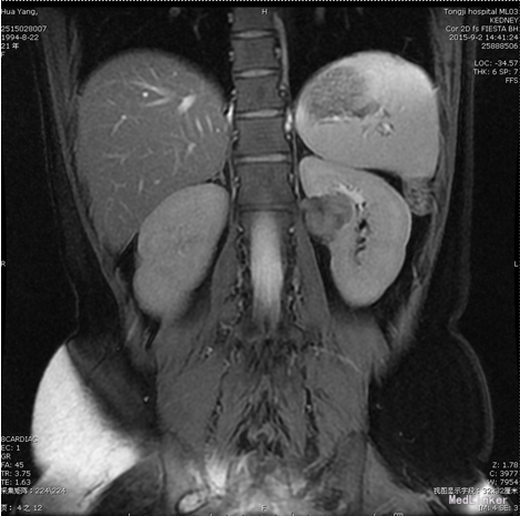
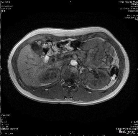
查体:T36.6℃,P84bpm,Bp104/66mmHg,双肾区叩痛阴性,外生殖器无畸形,双下肢无水肿。 辅助检查: 2015.9.15浠水县人民医院CT检查提示“左肾良性肿块,不排除肾嗜酸细胞瘤可能”。 2015.9.3我院MRI示“左肾占位,多考虑肿瘤性病变”。 双肾ECT检查示:双肾血流灌注、摄取功能大致正常,排泄通。


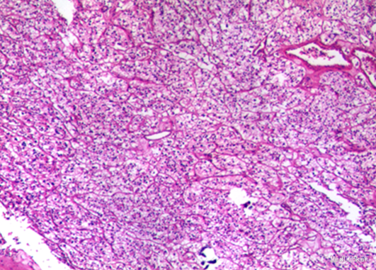
诊断:左肾肿瘤 处理:后腹腔镜下左肾部分切除术。以免疫治疗应用重组人白介素-2预防肿瘤的复发。
随访:病理学检查结果回示:左肾透明细胞癌。 讨论:肾细胞癌的免疫治疗效果如何呢?

