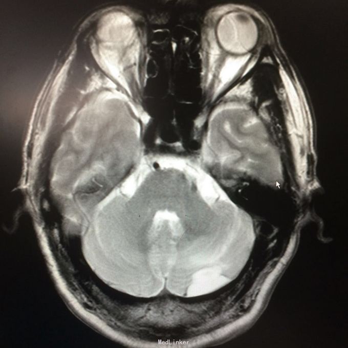
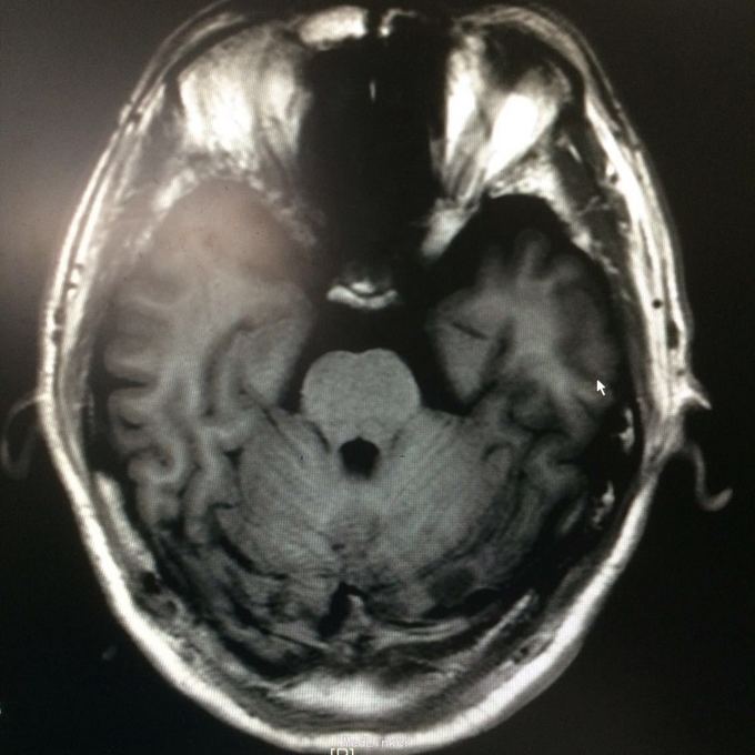
主诉:头晕头痛2年 病史:2年前无明显诱因出现头痛,呈刺痛,程度较重,伴头晕、天旋地转感,1年前查头颅MR提示:左侧小脑半数囊性病变,考虑血管母细胞瘤
查体:神志清楚,病理证阴性 辅助检查:头颅MR提示左侧小脑半数后部囊状占位灶,考虑良性病变。




诊断:左侧小脑血管母细胞瘤 处理:行左侧小脑占位病变切除术,术后病理提示:符合血管母细胞瘤。


病人恢复良好出院 讨论:血管母细胞瘤是由脑神经和脊髓神经所产生的一种高度血管分化的良性肿瘤。大多数的血管母细胞瘤是由单一病灶所产生的。然而,在一种所谓“vonHippelLindau”(VHL)疾病的病患身上,血管母细胞瘤是这个基因症候群的一种表现。患病者终其一生,会在他们的脑和脊髓里出现许多的肿瘤。在脑中,几乎所有病灶都发生整个脑部的後下部,也就是所谓的小脑之中。而小脑在脑部的主要功能是平衡和协调。血管母细胞瘤会有两种基本的形态,包括固体状和囊泡状的。固体状肿瘤几乎全部由细胞所组成,而囊泡状肿瘤则是小部分的细胞伴随著大部分的囊泡所组成的。 随著血管母细胞瘤的生长,日益增大的肿瘤将会压迫到脑部,并且造成一些神经学上的症状,例如头痛、肢体无力、感觉丧失、平衡和协调问题,或是水脑症。在一些少见的病例中,这种肿瘤会由于一些和神经学不相关的症状或是疾病,而无意中被发现。血管母细胞瘤可以选择两种基本的治疗方法。第一种是开刀将影响到脑或是脊髓的肿瘤切除掉。如果病患的血管母细胞瘤可以完全切除,而且在疾病分类上不是属于von Hippel Lindau的话,这个病患就算是治愈了。 在一些典型囊泡状血管母细胞瘤的病患中,只有固体状肿瘤的部分是需要移除掉,至於囊泡状肿瘤的部分,则是在手术中引流出来,而且这囊泡将会在肿瘤被移除後消失。 假如血管母细胞瘤无法整个切除掉,肿瘤有可能会重新生长或是会有更多的囊泡产生。任何的脑部或是脊髓的手术都是具有侵入性的,并且有一定的风险,例如中风、感染、麻醉的并发症或是神经学上的缺损。尽管如此,透过现今的神经外科设备,大多数的血管母细胞瘤是可以安全地移除的。 相对於开脑手术,立体定位放射线手术可以用来定位和破坏血管母细胞瘤。 单一剂量的放射线手术会造成细胞逐渐死亡,然後细胞自然萎缩。在血管母细胞瘤的病患中,只有固体状肿瘤的部分是需要用放射线手术来切除的;囊状液的量会慢慢地减少产生,最後囊泡会逐渐变小



