下载或打开 医联APP 查看完整评论
立即下载
打开APP
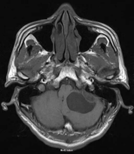
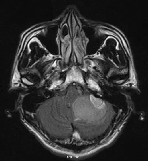
26 岁男性,头疼,恶心,出现加重性嗜睡一个月。
脑 MRI 检查示,左小脑半球一囊性成分为主的病灶,边界清楚,增强扫描见明显强化壁结节。可有轻度血管源性水肿和轻微局部占位效应,临近的四叠体和中脑周围池受压。GRE 序列上未见相关性出血的征象






诊断:小脑血管母细胞瘤。 整块切除 + 术前栓塞术。 可辅助立体定向放射外科技术。
血管母细胞瘤是一个良性、缓慢生长的中枢神经系统内的血管性肿瘤。占颅内肿瘤的 1% 到 2.5%。成人最常见的小脑原发性肿瘤。需要与转移瘤;静脉畸形;脓肿;星形细胞瘤相鉴别。