下载或打开 医联APP 查看完整评论
立即下载
打开APP
老年女性患者,70岁。主诉尿频、排尿费力、终末尿痛2个月
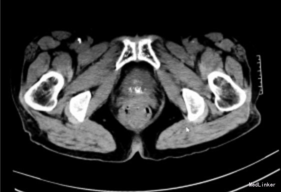
尿常规检查未见白细胞及红细胞,尿pH值7.3。CT检查示膀胱颈口有明显增厚及钙化灶(图1) 膀胱镜检查见膀胱三角区及颈口处黏膜明显增厚、隆起,表面糜烂并覆盖黄色细小颗粒状结石。取颈口及三角区组织行病理检查示:黏膜移行上皮增生,黏膜下大量钙盐沉积,少量炎细胞浸润,符合皮革性膀胱炎表现。

皮革性膀胱炎 治疗:蛛网膜下腔阻滞麻醉联合硬膜外麻醉下行经尿道膀胱三角区及颈口电切治疗,术中见黏膜层明显增厚、黏膜钙化明显,内含较多细结石,切至黏膜下层时结石消失。电切后观察无病变组织残留,三角区凹陷,正常黏膜下层裸露,部分区域可见肌层。
病理检查示膀胱黏膜慢性炎症、坏死,被覆上皮增生,固有层间可见钙盐沉着,纤维组织增生,较多中性粒细胞、嗜酸性粒细胞和淋巴细胞浸润。病理诊断:皮革性膀胱炎。 皮革性膀胱炎非常罕见,是一种较为严重的膀胱尿路上皮慢性炎症,可以导致膀胱黏膜水肿、糜烂和钙化斑块形成。本病大部分发生于年老体弱或免疫力低下者,是在特定的病理生理条件下形成的:①解脲棒杆菌感染,使尿液呈碱性,并致鸟粪石形成;②免疫功能低下;③泌尿系统有创检查或治疗致膀胱黏膜损伤、细菌污染。本病临床表现主要为尿痛、尿频、尿急、排尿困难等,有时伴有血尿,少数患者可有鸟粪石颗粒随尿排出或尿中有氨味。