下载或打开 医联APP 查看完整评论
立即下载
打开APP
2岁患儿,1年前因“排便困难”当地医院就诊,考虑肛门狭窄,全麻下行“肛门后切成形术”,术后定期扩肛治疗,大便起初排出如常。半月前个月患儿添加辅食后再次出现便秘,排便困难,遂来我院就诊。
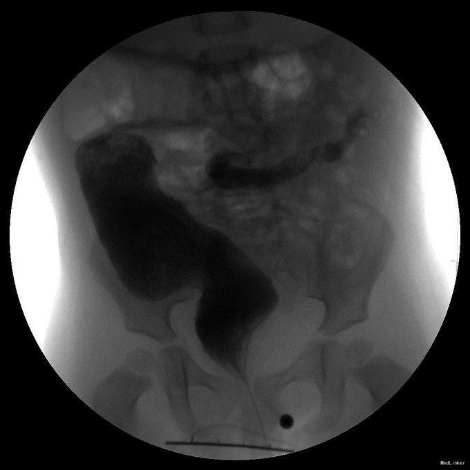
查体: 腹部稍膨隆,未见肠型及胃肠蠕动波,肛门指检稍狭窄,直肠壶腹空虚,退出指套无血染,无明显刺激性排气排便。 辅查: 钡灌肠:乙状结肠扩张,内见粪石。



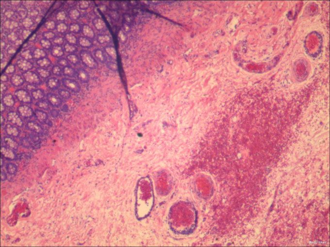
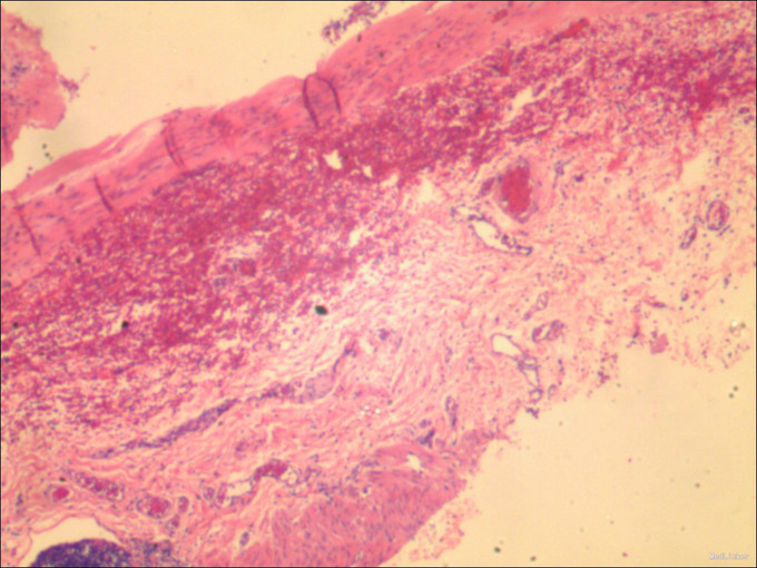
诊断:肛门狭窄术后继发性巨结肠 治疗:完善术前准备,全麻下行腹腔镜下经肛门继发性巨结肠根治术,术中见肛门往内回缩,肛周瘢痕增生明显,直肠下段扩张明显,术后给予积极抗感染补液治疗。
术后两周返院扩肛,患儿诉大便次数较多,每天约3次。肛门直肠术后应注意(一般术后2周以后)定期扩肛,以减少疤痕形成造成狭窄;同时,要保持大便通畅。对于婴幼儿,长期便秘,还应与先天性巨结肠相鉴别。