下载或打开 医联APP 查看完整评论
立即下载
打开APP
患者男,50 岁,躯干四肢反复疼痛溃疡性结节 15 年。自发缓解后遗漏色素性疤痕。患者承认既往有结核患者接触史,但未发病,也未接受抗结核治疗。
抗酸染色、分枝杆菌培养和 PCR 检测结核分枝杆菌(TB)DNA 均阴性。结核菌素皮肤试验强阳性(28 mm)伴水疱(见图 1a)。相似地,γ干扰素释放试验(Quantiferon-TB Gold 试验)阳性。皮肤活检证实了 EIB。

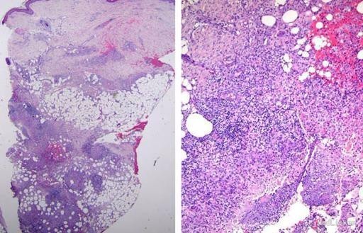
诊断:Bazin 硬红斑 皮肤活检显示了与此前活检相似的结果(见图 2)。抗酸染色和 PCR 检测均阴性。诊断为继发于结核菌素试验的 EIB。补充性试验排除了内脏器官结核。开始抗结核化疗,未发生不良反应,皮损消退。

本病例强烈提示 TB 感染与发生 EIB 之间存在关联。EIB 发病机制不明,被认为是针对 TB 抗原增强的 T 细胞免疫所致,该抗原来自皮肤外病灶,患者对 TB 存在中度或高度免疫性。 EIB 中结核菌素试验强阳性例证了该主流理论。不同的研究证实了对结核菌素纯蛋白衍生物(PPD)的特异性增强的 T 淋巴细胞增殖和增强的 γ 干扰素反应。皮损中不存在 TB 的可能原因是病灶中的 TB 已通过免疫机制被破坏,或它们以循环中 TB 碎片的形式存在。 在文献中报告了健康人和瘤型麻风患者接种 PPD 后发生结核性肉芽肿反应。在这些病例中,临床上仅表现为坚实的硬结区。与本例相同,这些结果发生于 PPD 接种后数周,此时已无皮肤反应的证据。 DOI: 10.1111/ijd.12363