下载或打开 医联APP 查看完整评论
立即下载
打开APP
患者因“头痛呕吐伴意识障碍7+小时”急诊入院。
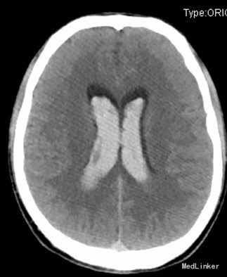
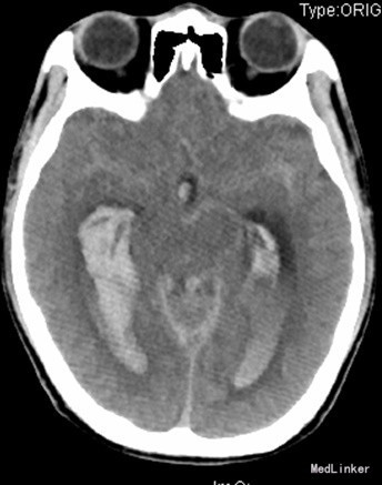
查体:昏迷,双瞳大形圆约3mm,四肢及肌力张力不合作。辅助检查:CT提示蛛网膜下腔出血,脑室铸型。头部CTA提示:广泛蛛血,脑室系统明显积血,脑实质稍肿,中线居中;右侧颞叶约侧脑室区积血内见增多、迂曲团状血管影,似主要由右大脑后动脉分支供血,考虑血管畸形可能性大。行全脑血管造影提示右侧小脑动静脉畸形,供血动脉来自右侧小脑上动脉、右侧大脑后动脉。



入院后急诊行“双侧侧脑室钻孔引流术”。予脱水、抑酸、祛痰、神经营养等对症支持治疗。后全麻下行“右颞叶血管畸形切除术+颅内血肿清除术”。术后病人送往NICU监护治疗,予完善相关检查,控制患者血压,予镇静镇痛、纠正电解质代谢紊乱等对症治疗。
复查头部CT:右侧颞叶出血变淡,侧脑室积血吸收,右额部硬膜下积血似稍明显,不除外局部颅骨伪影干扰所致,余未见明显变化。目前患者病情平稳,伤口愈合好,无呕吐、抽搐等,予转我院双向转诊医院继续治疗。