下载或打开 医联APP 查看完整评论
立即下载
打开APP
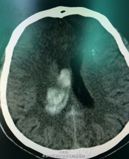
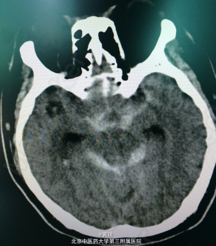
患者男,46岁,主诉:左侧肢体麻木伴进行性意识障碍5小时。 现病史:患者5小时前无明显诱因出现左侧肢体麻木,伴头痛,约4小时前出现呕吐,为喷射性,呕吐物为胃内容物,逐渐出现意识障碍,无肢体抽搐,约3小时前出现小便失禁,言语模糊。120送我院急诊就诊,行CT检查提示脑室内出血,于急诊给予保守治疗,患者意识障碍加重,预手术治疗收入院。
辅检:头CT示:右侧侧脑室内高密度影,脑室铸型(脑室铸型就是出血量过大,填满脑室,开起来就好像灌注雕塑一样)



初步诊断: 脑出血 脑室铸型 处理:颅内血肿清除术
颅内出血是神经外科最常见的急病之一。颅脑外伤,高血压,颅内血管畸形,颅内肿瘤及颅脑手术后迟发出血都可导致颅内血肿的出现,颅内血肿常引起颅内压增高对周围脑组织造成压迫或破坏而出现神经系统定位症状。如果不治疗,随着血肿量逐渐长大,表现为急性颅内压增高,严重者常有脑疝形成。这常是导致病人死亡的直接原因。