下载或打开 医联APP 查看完整评论
立即下载
打开APP
打开应用
内固定取出术
白医师
上海交通大学医学院附属瑞金医院
骨折
主诉 病史
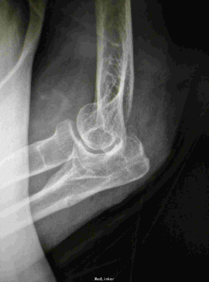
随访:术后2周手术切口愈合好,肘关节活动度好 讨论: 术后1年骨折愈合后内固定取出较顺利。
查体 辅查
随访:术后2周手术切口愈合好,肘关节活动度好 讨论: 术后1年骨折愈合后内固定取出较顺利。
诊断 处理
随访:术后2周手术切口愈合好,肘关节活动度好 讨论: 术后1年骨折愈合后内固定取出较顺利。
随访 讨论
随访:术后2周手术切口愈合好,肘关节活动度好 讨论: 术后1年骨折愈合后内固定取出较顺利。
发布于 15-11-29 19:22
医联推荐你看
内固定取出术
内固定取出
锁骨内固定取出术致臂丛神经损伤
共
0
个评论
暂无评论
发送
0