下载或打开 医联APP 查看完整评论
立即下载
打开APP
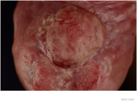
中年男性,慢性病程。阴茎、龟头红斑20年,肿物3月。皮损有触痛。个人史无特殊。
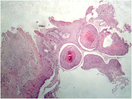
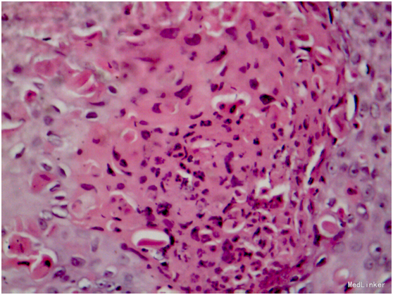
皮损:龟头、阴茎潮红,其上见数处浅表糜烂,龟头下方见一溃疡,周边一甲盖大小肿物,质较硬,有触痛。辅助检查:初步诊断:龟头溃疡、肿物查因:SCC?CA?其他?行肿物活检,病理:送检组织棘细胞排列紊乱,向真皮内不规则增生,可见角化不良细胞、异形细胞及不典型核分裂像。病理诊断:高分化鳞癌。



最后诊断:高分化鳞癌。 治疗:为尽量保证患者生活治疗,控制感染后行Mohs手术切除肿瘤。
慢性发展的高分化鳞状细胞癌恶性程度相对较低,转移少见。