下载或打开 医联APP 查看完整评论
立即下载
打开APP
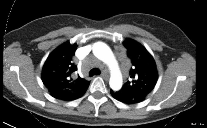
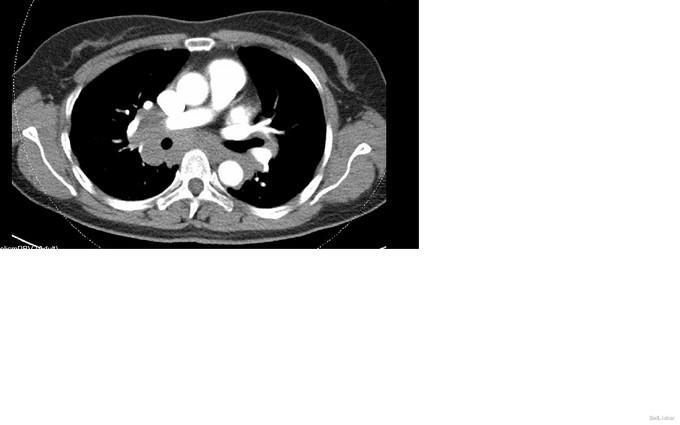
患者,女,54岁,因咳嗽1月于当地医院就诊,抗感染治疗等无效 既往无肺结核病史、无粉尘、石棉等有害物质接触病史
CT提示纵隔多发的巨大淋巴结增生,考虑结节病可能


放射科也考虑结节病可能 收住院行EBUS-TNBA穿刺 做了两次穿刺均未找到癌细胞,考虑肉芽组织

进一步扫全身多处的淋巴结、均有肿大 初步排除cancer,转呼吸内科进一步诊治。 呼吸内科的EBUS-TBNA技术的日趋成熟,对于外科术前分期、判断非常有价值。随着诊疗的个体化呼声越来越高,内、外、病理、影像、放化疗组成的综合肺部肿瘤诊治中心发展前景很大


