下载或打开 医联APP 查看完整评论
立即下载
打开APP
患者,男,11岁。主因头痛2周、意识障碍2天入院。 患者2周前出现持续性头胀痛,1周前出现呕吐,入食即吐,2天前昏迷。在当地医院行头颅CT检查:颅内肿瘤。遂来我院急诊中心就诊,给予“脱水、营养神经、对症处理”,随即急诊以“左侧基底节区及丘脑肿瘤”收入我科。既往体健,无其他相关病史。
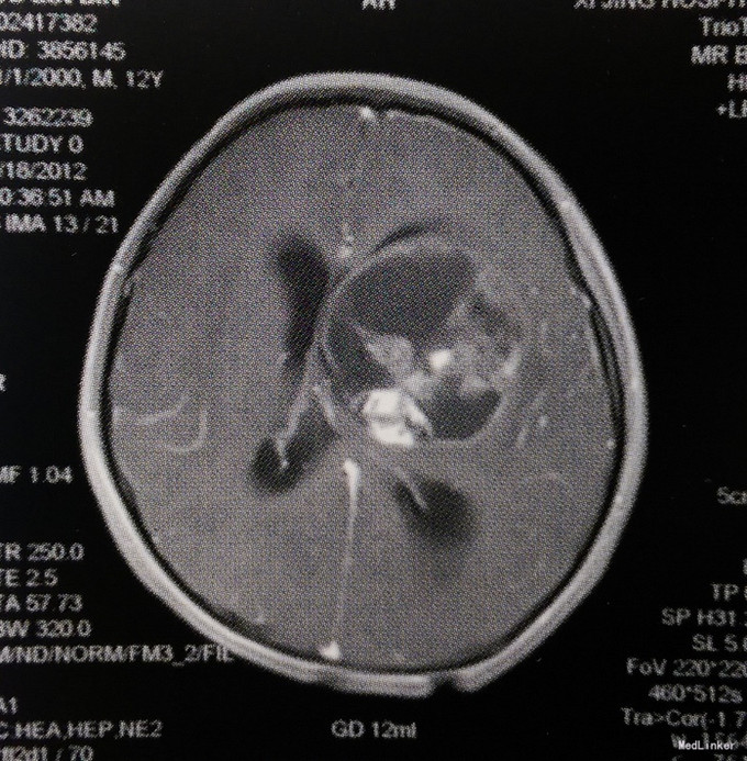
体格检查:意识呈昏睡状,查体不配合,双侧瞳孔等大等圆、对光反射迟钝,四肢肌力III级,肌张力轻度增高,右侧Babinski征阳性,颈抵抗阳性。 头颅MRI检查:左侧基底节区及丘脑占位性病变,呈囊实性混杂成分,边界欠清,实性成分呈明显不均匀强化,考虑生殖细胞瘤或胶质瘤可能性大;左侧侧脑室明显受压变形,中线向右侧移位;幕上梗阻性脑积水。




诊断:左侧基底节区及丘脑肿瘤 治疗:患者在命麻下行“开颅左侧基底节区及丘脑瘤切除术”。
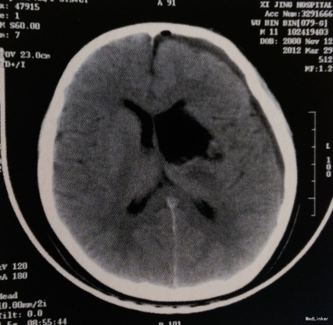
术后一周行CT检查:左侧基底节区及丘脑肿瘤完全切除,术区软化灶形成,左侧侧脑室形状及中线结构基本恢复正常,左额顶部少量硬膜下积液。
