患儿女,11岁。 主诉:双侧腋窝、右乳和阴阜起丘疹伴瘙痒6年。 现病史:患儿6年前在无明显诱因下先于阴阜处起多个米粒大小毛囊性丘疹,自觉瘙痒。此后,皮损数量逐渐增多,并波及双腋下和右乳房。遇热及情绪紧张时瘙痒加重。外用“艾络松”等皮质类固醇激素类药膏,瘙痒可暂时缓解,但皮损不消退。 既往史:患者既往体健。 家族史:家族中无类似疾病患者。

体格检查:一般情况好,各系统检查无异常,全身浅表淋巴结未触及。皮肤科检查:双侧腋窝、右乳房、阴阜和双侧大阴唇可见密集分布的毛囊性丘疹,质坚实,不融合,呈肤色或淡褐色,部分丘疹表面可见表皮剥脱。

Fox-Fordyce病
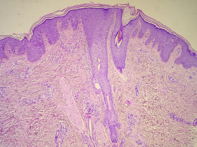
Fox-Fordyce病又称顶泌汗腺痒疹或顶泌汗腺毛囊角化病,最早由Fox和Fordyce报告。本病病因尚不完全清楚,可能在内分泌影响下,顶泌汗腺导管开口部位发生阻塞,导致顶泌汗腺分泌物潴留,顶泌汗腺导管破裂后,真皮内继发炎症反应而形成皮损。本病90%的患者发病于15岁~55岁的女性,偶可见于绝经后女性或男性。皮损仅发生在有顶泌汗腺部位的皮肤,主要为腋窝,其次为乳晕、脐窝、耻骨部及会阴部,分布对称。基本损害为针头至绿豆大小的毛囊性丘疹,质坚实,表面光滑,圆形,呈肤色或淡黄色,孤立散在,不融合。自觉剧痒,有的患者在月经期瘙痒加重。本病的组织学特点为毛囊壁海绵水肿性水疱,即顶泌汗腺潴留性水疱。毛囊漏斗部棘层肥厚,漏斗部周围的真皮中有炎性细胞浸润。 根据患儿的发病部位、皮疹形态再结合组织病理检查,不难诊断本病。本例特殊之处在于患者于青春期前发病,比较罕见。本病治疗困难。雌激素为最常有效的方法,通常采用口服避孕药。局部用维A酸、抗生素、外用或皮损内注射皮质激素,口服维A酸(异维A酸)及紫外线光疗对少数患者有效[3]。最近有作者使用1%吡美莫司治疗本病有效。