主诉:车祸外伤后颈部疼痛伴活动受限1+月 现病史:患者自述于2012.12.6日乘车时不慎发生车祸,紧急刹车后,患者前额部撞在前排座椅上,患者自觉颈部、耳后疼痛,伴颈部活动受限,遂急至“井研县人民医院”就诊,并行头颅CT、颈椎X线片后,考虑“颈部软组织受伤”,遂建议在家休养,患者为求进一步就诊,至“市人民医院”就诊并行颈椎MRI检查,考虑“寰椎前弓骨折”,建议至上级医院就诊。患者遂至我院就诊,经检查并拍片考虑:寰枢椎骨折并脱位。建议行“牵引”治疗,依据治疗结果再决定手术治疗还是保守治疗。患者遂至“某医院”住院牵引治疗两周后再次来我院门诊就诊,经检查并阅片考虑“寰枢椎陈旧性骨折并脱位”并收住入院,拟行手术治疗。 患者自外伤以来,神清,精神良好,无头痛、头晕,无恶心、呕吐,无腹痛、腹胀,无高热、寒战等不适。






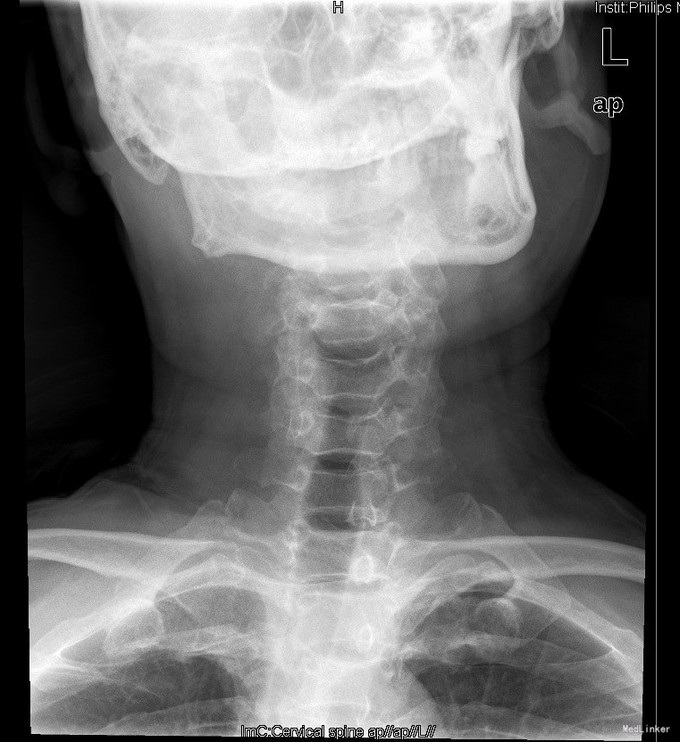
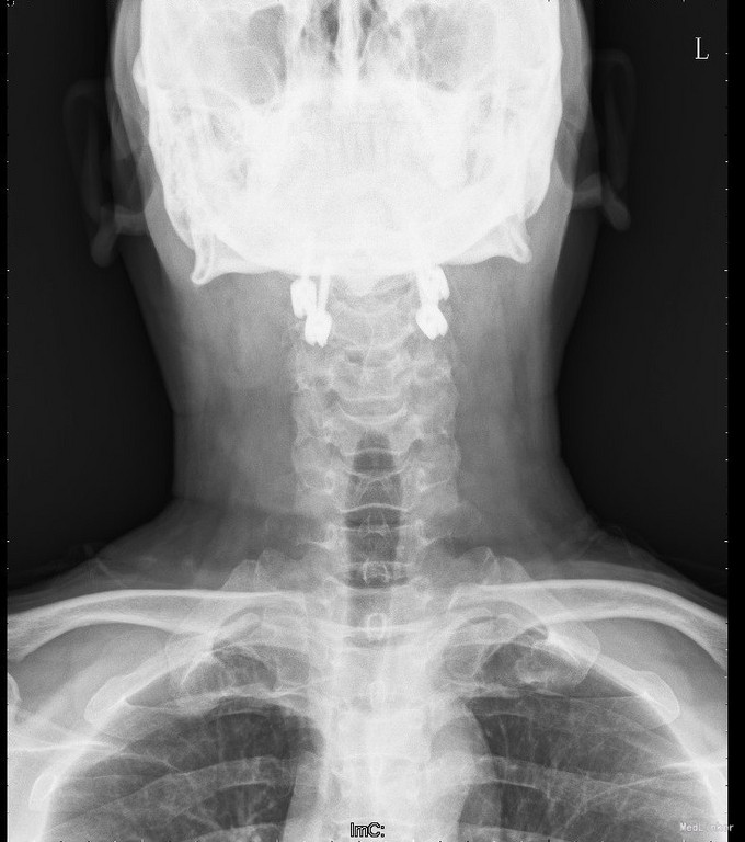
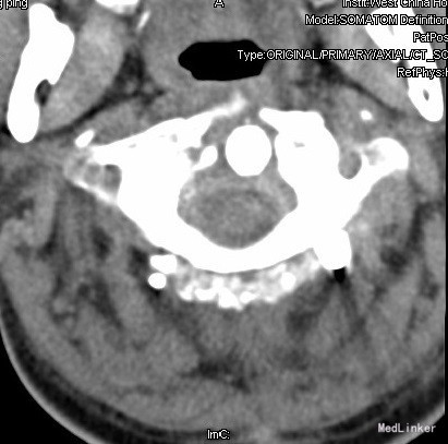
查体:查体:T:36.7oC,P:80次/分,R:20次/分,BP:137/82mmHg。神志清楚,无病容,皮肤巩膜无黄染,全身浅表淋巴结未见肿大。。颈静脉正常。心界正常,心律齐,各瓣膜区未闻及杂音。胸廓未见异常,双肺叩诊呈清音,双肺呼吸音清,未闻及干湿啰音及胸膜摩擦音。腹部外形正常,全腹柔软,无压痛及反跳痛,腹部未触及包块,肝脏肋下未触及,脾脏肋下未触及,双肾未触及。双下肢无水肿。视:平车推入病房,颈椎颈托围领固定,颈部、前额部及全身皮肤未见皮损及异常。触:颈1-4棘突及椎旁明显压痛、叩击痛,感觉正常,四肢肌张力正常。动量:颈椎活动受限,尤以旋转受限为重。双侧肱二头肌反射、肱三头肌反射、膝反射正常,双侧babinski征阴性,右侧Hoffmann征阳性、左侧阴性。 辅助检查:颈椎X线片、MRI、CT提示:寰椎椎板前弓骨折,寰枢关节旋转半脱位
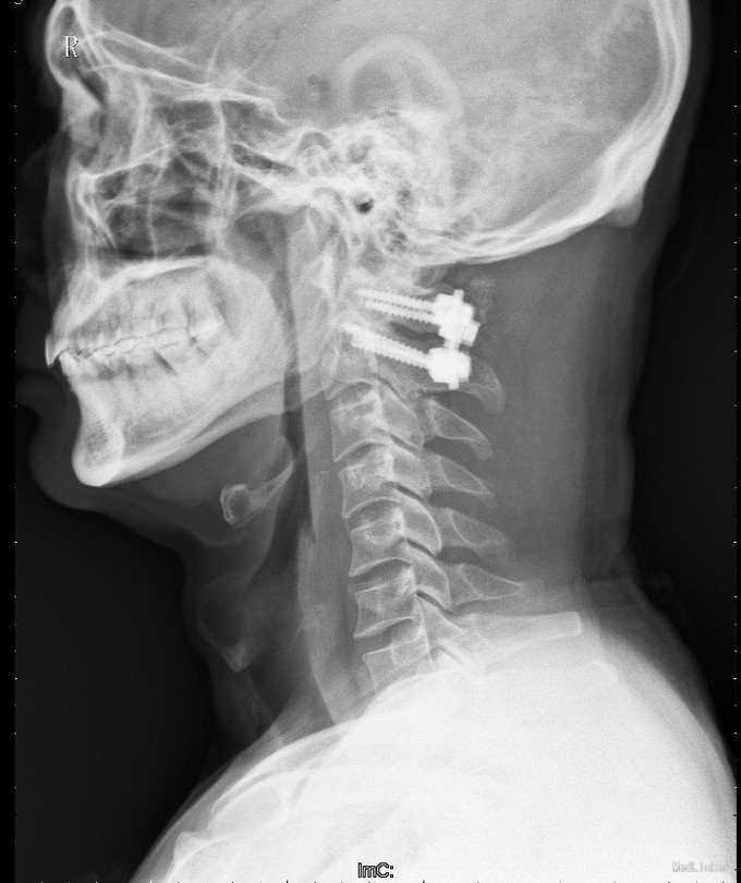
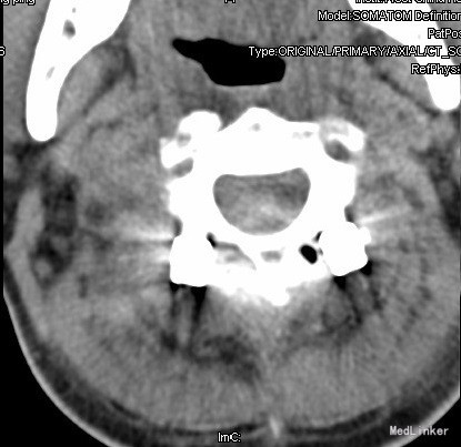
诊断:1.陈旧性寰枢关节旋转脱位2.陈旧性寰椎前弓骨折 治疗:全麻下行:行经前路寰枢椎脱位切开撬拨复位+经后路寰枢椎侧块螺钉内固定、去髂骨后外侧植骨融合术
手术顺利,术后病人返回SICU监护,病情平稳后转入我科,给予营养神经、祛痰、雾化吸入、补液等对症支持治疗,现患者恢复良好,颈部疼痛缓解,四肢活动良好