打开应用

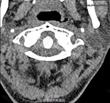
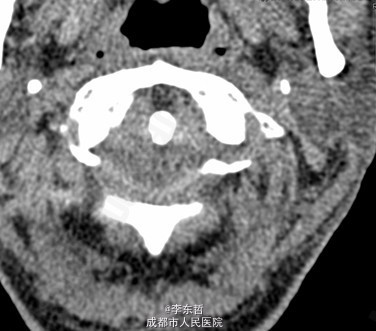
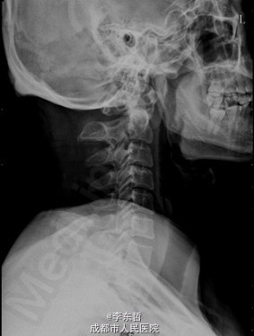
陈旧性寰枢关节脱位

刘医师   敖汉旗医院

主诉 病史

患者男性,54岁,因“外伤后头颈部疼痛2年加重伴活动受限1个月”入院,自诉疼痛呈慢性起病,间歇性、反复发作并逐渐加重,为求进一步诊治故来我院,门诊以“陈旧性寰枢关节脱位”收入我科。

发布于 15-04-06 23:32

1 个评论

发送