下载或打开 医联APP 查看完整评论
立即下载
打开APP
患者,男性,55岁。左眼下睑肿物一月余,加重半月。左眼上颌窦癌术后半年,已于外院行放疗32次,化疗3次。
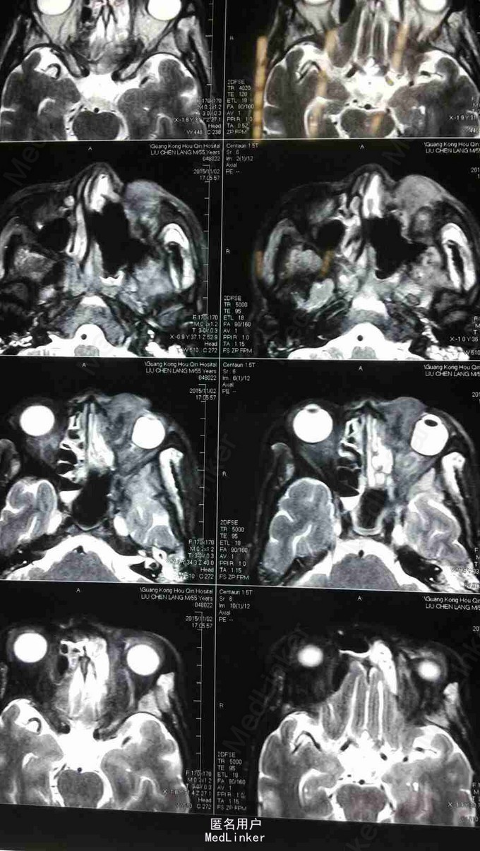
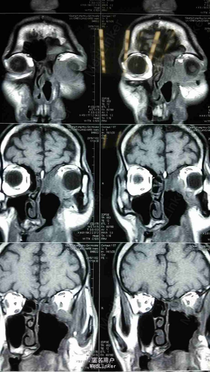
查体:患者神清,消瘦,发音不清,全身浅表淋巴结未见肿大,左眼上睑内侧可见肿物,大小约1*1cm,皮肤红肿,无破溃,质硬,伴压痛,不活动,眼睑闭合不全,睫毛方向正常,眼部可见少量脓性分泌物。 MRI:左侧上颌窦术后改变,左上颌窦顶壁及左眼眶内下方异常信号,考虑肿瘤复发,累及左眶内眦部,前组部分筛窦,内下方肌间隙及上下眼睑内侧份。






诊断:左眼上颌窦恶性肿瘤(复发) 治疗:拟于全麻下行左眼眶肿物切除术。但于术前患者突发抽搐、精神萎靡,血压升至208/169mmHg,并于观察后半小时内降至100/50,立即行床边心电图,联系内科医生会诊,予吸氧、心电监护、静脉滴注多巴胺。
预后:患者生命征经观察后趋于平稳,家属要求放弃治疗出院。 讨论:患者为恶病质,突发精神萎靡、血压上升、全身抽搐,不排除为肿瘤侵犯脑膜引起的短暂癫痫,而且上颌窦术后及放疗后,患者张口困难,会为抢救插管带来更大的风险。因此,术前评价患者的状态十分重要。