下载或打开 医联APP 查看完整评论
立即下载
打开APP
患者 57岁一月前因感冒发烧入院,当地医院给予抗炎治疗,症状未减轻,就诊于我院。
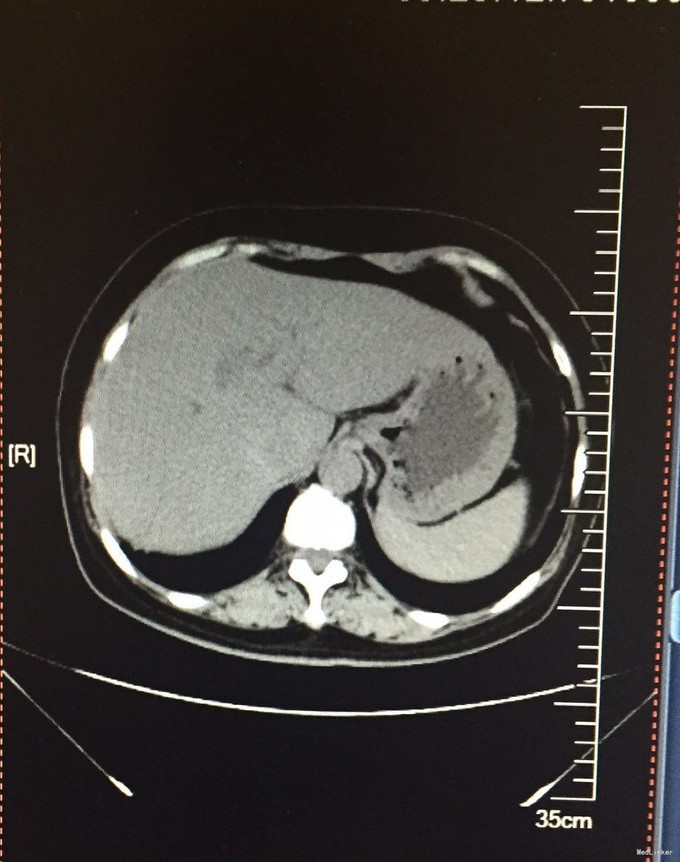
CT示:右肺下叶条索、结节影;右侧胸膜肥厚粘连,钙化,纵膈内多发小淋巴结影。2.肝左叶内侧段近肝门处稍低密度影。行右肺下叶肿瘤楔形切除术,手中可见右肺上叶,中肺表面可触及白色点状结节。右肺下叶近外周处可扪及大小约2*2*1cm的肿块,牵拉表面肺组织呈凹陷状。


术中冰冻为:“右肺腺癌,胸膜内癌转移。”术中考虑分期为T4NxM1IV期。考虑为根治手术禁忌症。遂经家属同意,制定术后化疗方案后实行化疗。最终诊断为:右肺癌(T4NxM1,IV期)

晚期肺癌手术对于病人的术后恢复及后续治疗有一定影响,请问各位老师,目前对于晚期不适于手术的患者行手术部分切除后还有什么好的治疗手段吗