打开应用

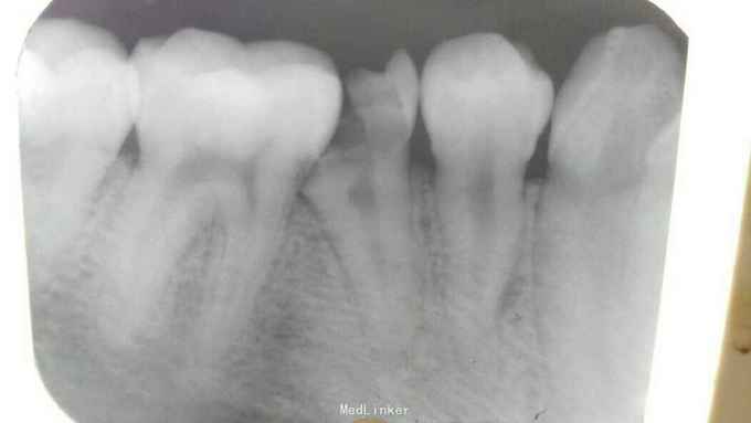
根尖周病变

成都用户   成都康华医院
慢性根尖周炎 慢性根尖周炎 根尖周炎

主诉 病史

右下后牙疼痛三天 男,18岁,右下后牙因咬颌疼痛三天就诊,无夜间痛,无自发痛,无外院就诊史

查体 辅查

C4探诊-,叩诊+。C5探诊-,叩诊++ C5残冠,颊侧根部瘘管,触痛明显。 X线片显示,C5根尖阴影

诊断 处理

C5慢性根尖周炎合并瘘管 C5去净腐质,开放根管,放置纸尖木溜油

随访 讨论

如果疼痛,第二天过来,如果没有疼痛,三天后复诊

发布于 15-11-26 18:48

5 个评论

发送