下载或打开 医联APP 查看完整评论
立即下载
打开APP
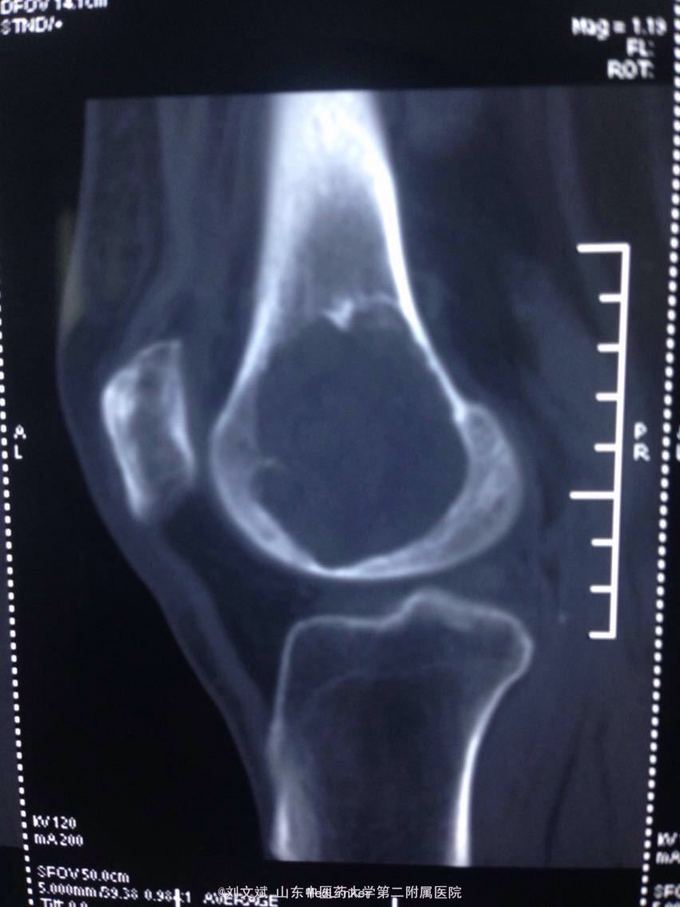
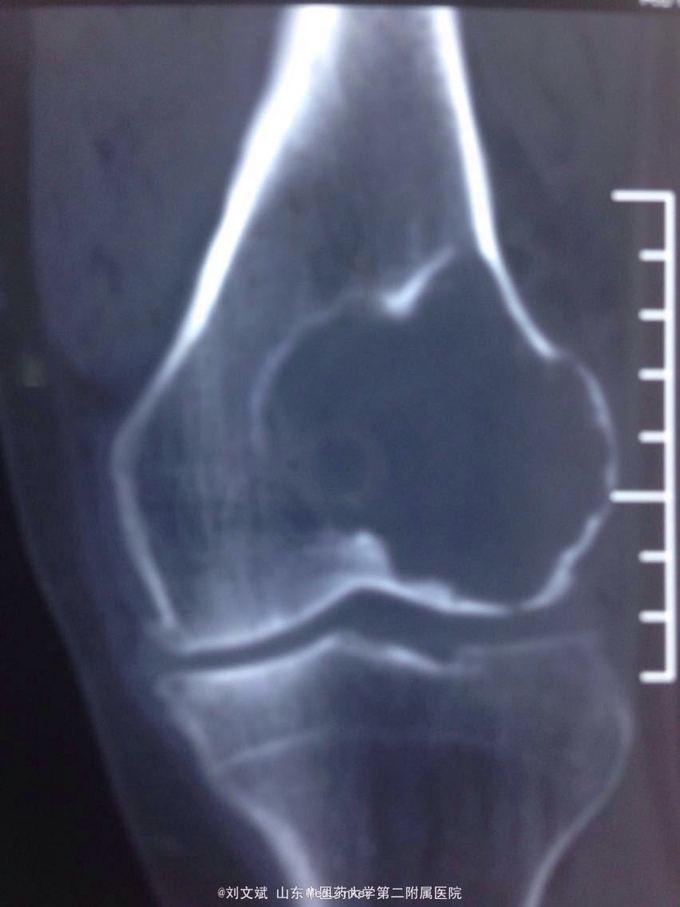
男性51岁,左膝关节疼痛不适10余年。因症状较轻,不影响活动,未曾系统诊治。一月前因扭伤致疼痛加重,拍片检查,见股骨远端骨质异常,进一步行CT示股骨髁占位病变,考虑骨囊肿。既往有高血压,糖尿病病史。近期无低热,体重下降。









左膝关节外观皮色正常,无明显肿胀,屈伸活动未见明显受限,外髁轻度压痛,侧方应力及抽屉试验阴性,半月板回旋挤压试验阴性,浮髌试验阴性。肢端感觉,血运正常。
诊断:左股骨远端占位 因皮质完整,行手术开窗刮除,自体髂骨及同种异体骨混合植骨填充治疗。切取组织送病理检查


刮除占位组织如图所示,送病理检查了,结果还没回来。 没有全身症状,像是原发灶,骨皮质完整,没有明显骨膜反应请专家们看看,什么可能性比较大? 补上病理结果和术后片子


