患者郑文芳,女,52岁,因“发现嘴巴歪斜1天”收住院治疗。 缘患者以1天前无明显诱因下出现嘴巴歪斜,向左边歪斜为主,伴左眼不能闭合、左侧额纹消失、伸舌左偏、左侧鼻唇沟变浅,无伴饮水呛咳、四肢麻木,无伴头痛头晕、胸痛胸闷、恶心呕吐、腹痛腹胀,当时未予诊治,现患者及家属发现患者嘴巴歪斜明显,即到我院急诊就诊,为进一步规律诊治,急诊拟“贝尔面瘫”收入院,患者自发病以来,精神可,胃纳一般,二便正常,体重未明显减轻。
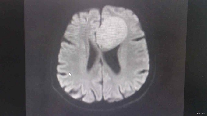
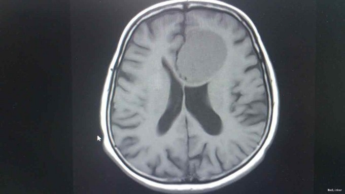
T:37℃,R: 20次/分,P:84次/分,BP:122/88mmHg。发育正常,营养中等,自主体位,步态平稳,表情自如,神志清楚,对答切题,查体合作。皮肤粘膜未见苍白、黄染,未见皮疹,无皮下出血点,无伤口。全身浅表淋巴结未扪及肿大。头颅无畸形。眉毛无脱落,眼睑无水肿、下垂、倒睫,睑结膜无苍白、充血,球结膜无充血、水肿,巩膜无黄染,角膜透明,眼球活动灵活,无凸出、凹陷、震颤、运动障碍,双侧瞳孔等大等圆,直径约3mm,对光反射灵敏,集合反射正常,左眼不能正常闭合。耳廓正常,无畸形,鼻部外形无异常,口唇红润,口腔粘膜未见出血点及溃疡,伸舌左偏,咽部无充血,扁桃体无肿大。颈软,无抵抗,颈静脉无充盈,肝颈静脉回流征(-),气管居中,甲状腺不大。胸廓对称无畸形、无局部膨隆或凹陷。呼吸平稳,节律规则。双侧呼吸动度对称。双肺部叩诊清音。双肺呼吸音清,未闻及干湿性啰音。心界不大,心率84次/分,律齐,各瓣膜区未闻及病理性杂音。腹平软,未及压痛,未及反跳痛,腹部未扪及包块,肝右肋下、剑突下未及,脾未触及,胆囊未触及,Murphy征(-)。移动性浊音阴性,肠鸣音正常,约4次/分。脊柱四肢无异常。生理反射存在,病理反射未引出。 专科检查:计算力、定向力、记忆力正常,双侧瞳孔等大等圆,直径约 4mm,对光反射灵敏,辐辏反射正常,眼球运动无受限,左侧眼睛不能正常闭合,左侧额纹消失,左侧鼻唇沟变浅,伸舌左偏,鼓腮无漏气,双上肢肌力5级,双下肢肌力5级,生理反射存在,病理反射未引出。 相关检查:血常规、大便常规、肝功能、凝血四项、离子四项、心肌酶、血脂四项、肾功能、肿瘤二项未见明显异常。 头颅增强MR1.左侧额叶大脑镰旁见团块状异常信号影,考虑脑膜瘤;2.双侧辐射冠区缺血灶;3.轻度脑萎缩。 肝胆脾胰B超、泌尿系B超未见异常。胸片示:1.双肺纹理稍增多、增粗,请结合临床;2.右上纵隔增宽,建议必要时CT检查。





诊断:脑膜瘤 治疗:甘露醇、地塞米松降颅压,择期手术治疗。
中枢性面瘫及周围性面瘫要注意鉴别,本病例患者中枢性体征不明显,急诊科有误诊,入院后完善相关检查才明确。如果按照周围性面瘫治疗必然会延误病情。