下载或打开 医联APP 查看完整评论
立即下载
打开APP
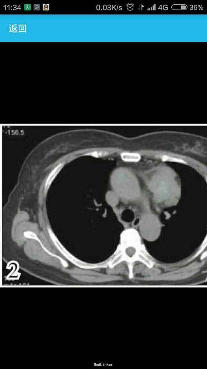
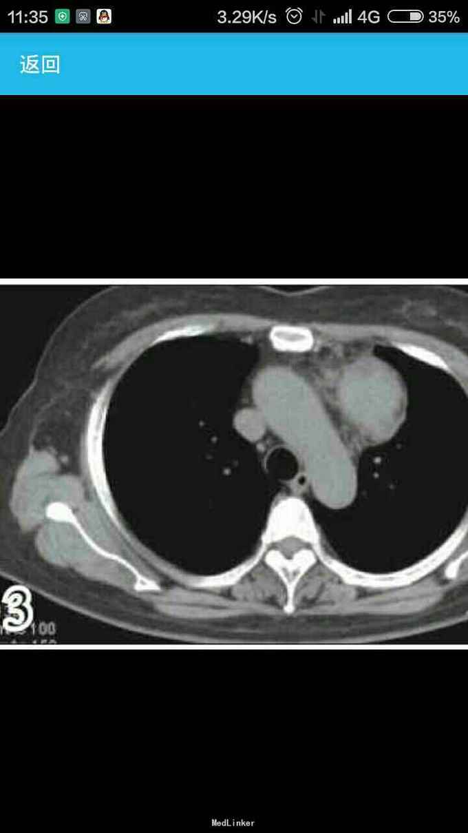
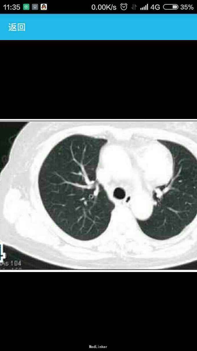
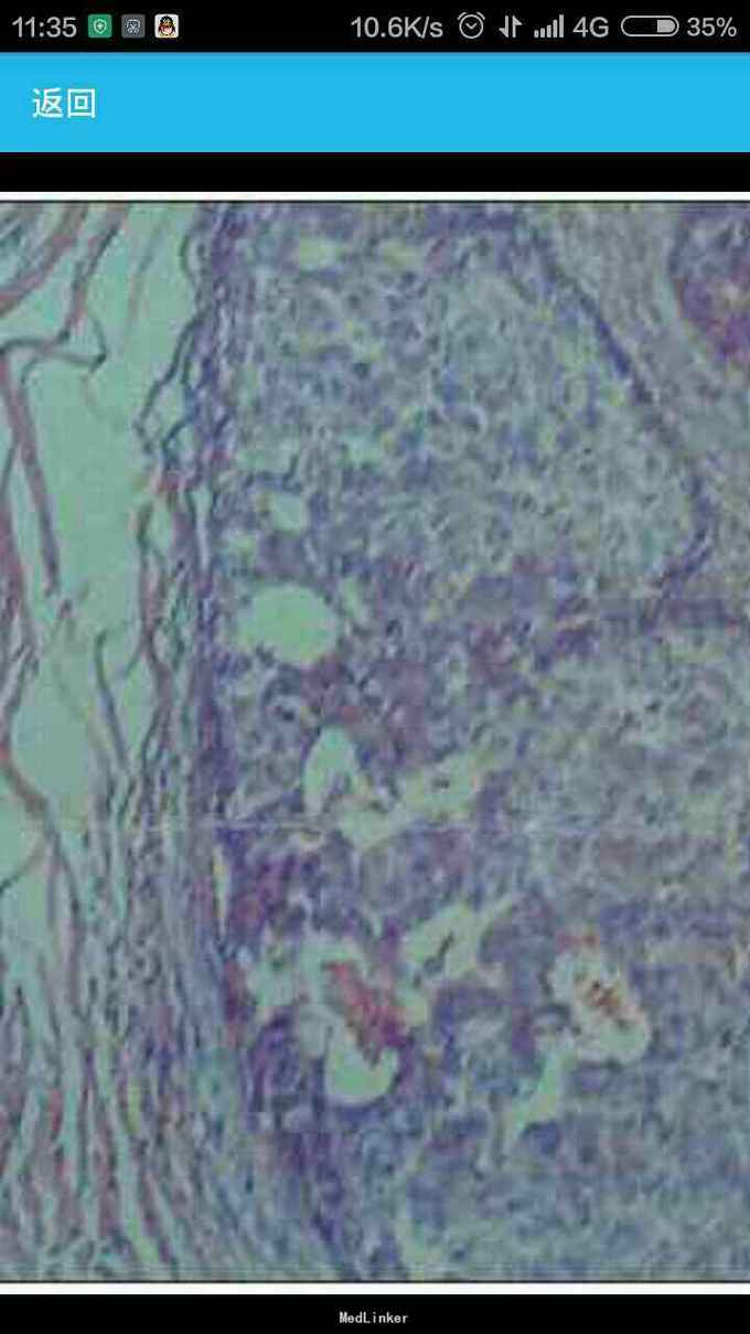
女性,60岁,因左 趾关节红肿、剧痛,红肿弥漫足背 23天来诊,不伴发热,无外伤史, 全身体检无明显异常。 胸片示,左侧前上纵隔占位性病变(图1)。胸部CT示,左侧前上纵隔内见5.7 cm×3.8 cm软组织肿块影,内见斑片状稍高密度影,境界不清(图2——5)。 实验室检查显示,血尿酸517.1 μmol/L(正常值180——357 μmol/L),临床诊断为“急性痛风”,为排除相关疾病作进一步检查。 印象:左侧前上纵隔占位(恶性肿瘤?畸胎瘤?)。 手术结果:肿瘤位于左前纵隔,大小约为8 cm×8 cm ×6 cm,质硬,表面光滑,与心包、无名静脉、肺门粘连(侵犯壁层、脏层、胸膜、肺门、心包、膈肌、膈神经,伴肿大淋巴结)。【病理结果示】(图6):肿块9 cm×6 cm×4 cm,侵犯周围脂肪组织,伴神经内分泌分化。肿块标记:CD5(+)、CD117(+)、嗜铬粒蛋白A(CgA)灶(+)、突触素(Syn,+)、CD56 (-)、细胞增殖因子Ki-67约20%(+)。【诊断】胸腺鳞状细胞癌Ⅱ——Ⅲ级,伴神经内分泌分化。





