下载或打开 医联APP 查看完整评论
立即下载
打开APP
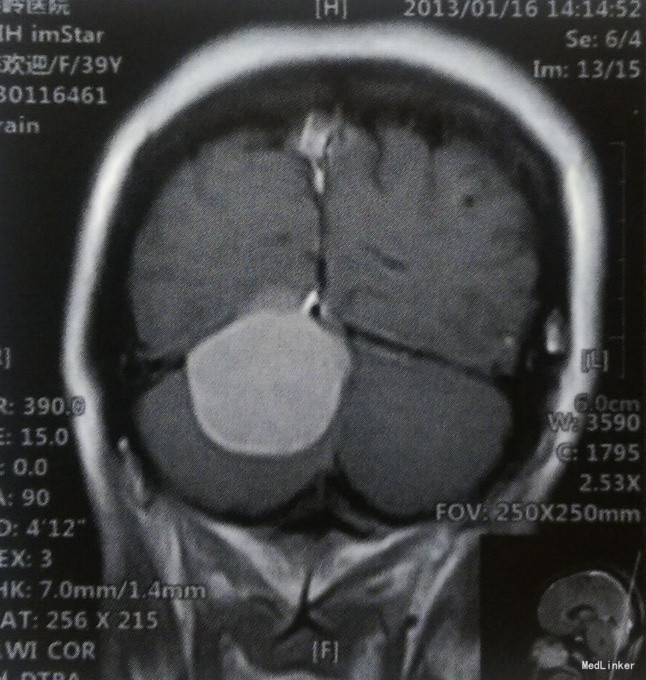
患者,女,39岁,已婚。主因间断头痛、头晕1年,加重1个月入院。 患者于1年前无诱因偶发头痛,以左颞部为著,呈钝痛,伴头晕,夜间休息时明显,打喷嚏时加重,自行口服“止痛药”效果不佳。1个月前上述症状加重,双颞侧头部闷痛明显,前往当地医院就诊,行头颅MRI检查:小脑幕下右侧小脑半球后方占位性病变,考虑脑膜瘤。未行任何治疗,门诊以“右侧小脑幕脑膜瘤”收入我科。既往体健,无其他相关病史。
体格检查:神经系统查体未见明显阳性体征。 术前影像学检查 头颅MRI检查:肿瘤边界清楚,T1WI呈等信号,T2WI为略高信号,信号均匀,病灶呈宽基底,与小脑幕及颅骨内板相连,增强扫描均匀强化,可见,“脑膜尾征”。


诊断:右侧小脑幕上下巨大脑膜瘤 治疗:手术切除
治疗期间恢复顺利,头痛、头晕症状明显改善,头部切口甲级愈合。病理检查:右侧小脑幕脑膜瘤(WHO Ⅰ级)。出院后未行其他辅助治疗,嘱定期复查。 术合3个月行MRI检查:右侧小脑幕脑膜瘤完全切除,无复发。
