下载或打开 医联APP 查看完整评论
立即下载
打开APP
主诉:头痛2年,加重2月 病史:2年前无明显诱因出现头痛,主要为右侧额颞叶胀痛,近两个月来上述症状加重,遂至当地医院行头颅CT提示:右侧额颞叶类圆形异常信号,考虑脑膜瘤合并出血。
神经系统查体阴性 辅助检查:头颅CT提示右侧额颞骨板下肿物伴瘤卒中考虑脑外源性脑膜瘤





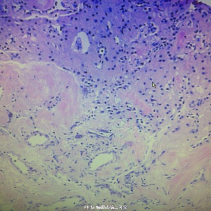
右侧额颞脑膜瘤 处理:全麻下行右侧额颞叶占位性病变切除术,术后病理提示:血管型脑膜瘤,WHO1级


随访:病人缓解出院。 讨论:血管型脑膜瘤是一种比较罕见的脑膜瘤类型,脑膜瘤在所有的颅脑部位肿瘤中占到五分之一左右,对于患者的健康会造成一定的影响。而血管型脑膜瘤血管废话藏丰富,对于其治疗会带来很大的困难,就如同血管瘤的手术治疗,术中非常可能会出血,且出血量较大,很难控制。


