下载或打开 医联APP 查看完整评论
立即下载
打开APP
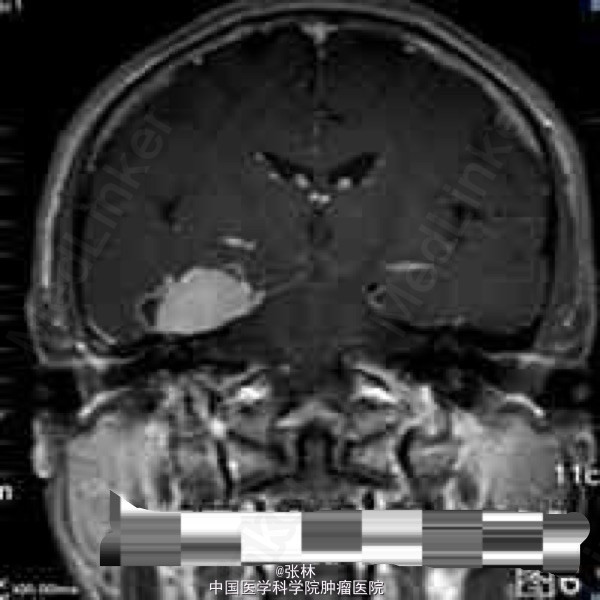
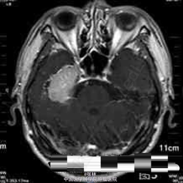
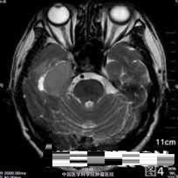
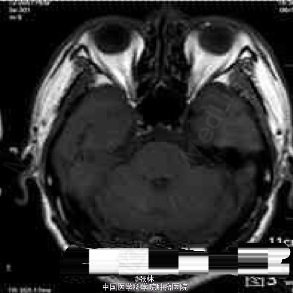
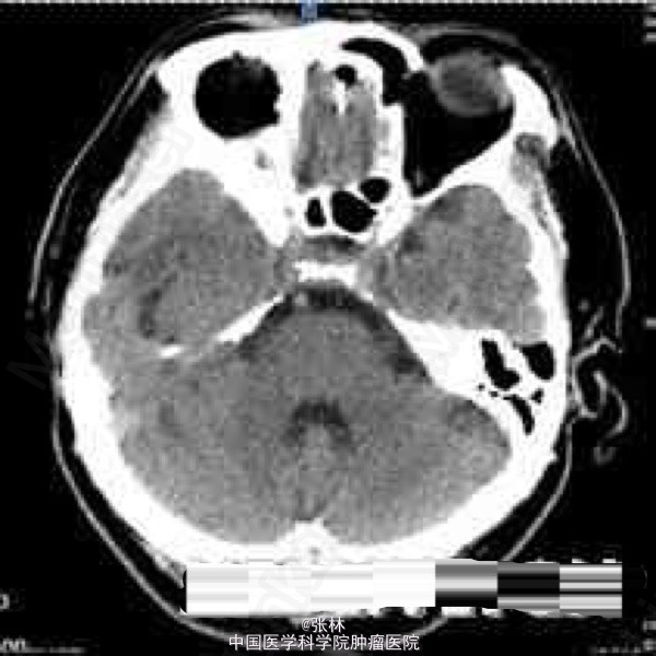
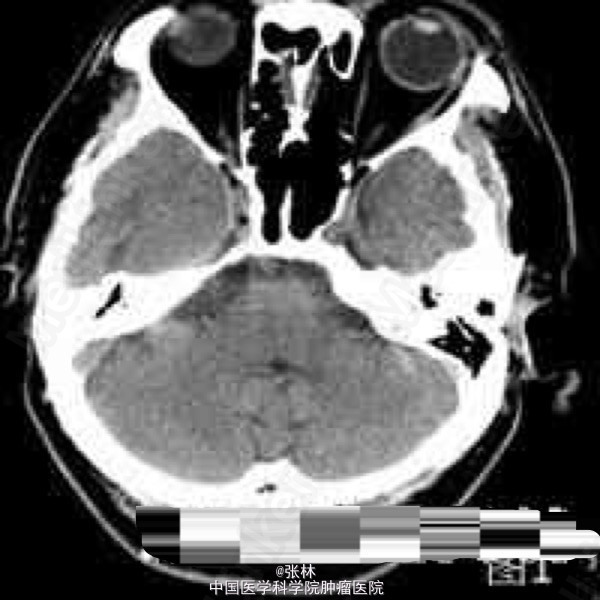
CT表现:右侧颅中窝可见一不规则肿块,呈等密度,内部密度均匀,CT值约37HU,肿块边界尚清晰,略成分叶状,与邻近骨质呈广基底相连,最大截面3.3cm×3.8cm,边缘处可见带状低密度影,边界清晰,CT值约16HU。肿块周边脑组织水肿,密度略减低。肿块周边骨质未见增厚硬化或变薄等异常改变(图1-2)。 CT诊断:右侧颅中窝肿块,伴周围脑组织水肿,建议进一步检查。 MRI表现:右侧颅中窝可见一不规则肿块,最大截面3.6cm×4.1cm,肿块边界清晰,成分叶状,与邻近骨质呈广基底相连(图5-6),在T1WI上呈等信号,在T2WI上呈略高信号;肿块边缘可见不规则液性信号带,在T1WI上呈低信号,在T2WI上呈高信号,与脑组织分界清楚(图3-4);肿块前方颞叶部分脑组织可见片状异常信号,在T1WI上呈稍低信号,在T2WI上呈略高信号,边缘模糊(图3-4);注射对比剂后,肿块实性部分明显强化,并可见“脑膜尾征”,而液性信号带未见强化(图5-6),肿块前方颞叶的片状异常信号未见强化。 MRI诊断:右侧颅中窝脑膜瘤,部分囊变,伴周围脑组织水肿。 手术病理结果:非典型性脑膜瘤,WHO分级II级。 讨论: 脑膜瘤是颅内仅次于胶质瘤的常见原发肿瘤,发病率占颅内肿瘤的16%~17%,在颅内脑外原发肿瘤中占第一位。它起源于脑膜的蛛网膜内皮细胞,常见于富含蛛网膜颗粒与蛛网膜绒毛的地方,以上矢状窦旁、大脑凸面、大脑镰、蝶骨嵴、鞍结节、嗅沟、小脑桥脑角区及小脑幕等部位多见。





