下载或打开 医联APP 查看完整评论
立即下载
打开APP
患儿女,32岁。因“外阴皮肤瘙痒、发白7年。”就诊。
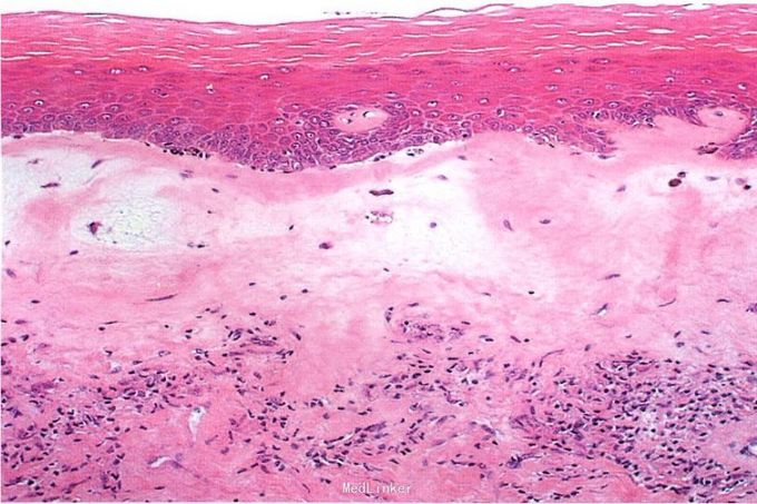
皮肤科检查:双侧大阴唇轻度水肿,略充血,表面轻度苔藓样变,外阴部分皮肤略有萎缩,颜色发白,较周围皮肤发亮。病理活检提示:表皮角化过度,基底细胞灶状液化变性,真皮上部胶原纤维均质化,真皮中部可见以淋巴细胞为主的炎性细胞带状浸润。


诊断:硬化性萎缩性苔藓。给予复方曲安缩松霜外用,每天2次,1周后瘙痒消失,1个月后外阴皮肤基本恢复正常。复方曲安缩松霜外用改为每天1次,维持治疗1个月后停用。
随访3个月无复发。