下载或打开 医联APP 查看完整评论
立即下载
打开APP
患者女性,59岁,因发现外阴溃疡1年余入院。
查体:左侧大阴唇下方有一2×2cm大小皮肤病变,表面糜烂。阴道、宫颈未及异常。 辅查:外院活检病理示:外阴慢性炎症,鳞状上皮呈湿疣状改变。阴唇皮屑涂片检查:真菌(-),细菌 革兰氏阳性球菌(+)。
入院后行外阴局部切除术。术中见左侧大阴唇上约2×2cm色素脱失区,美兰染色未见明显未染色区,在病变区域外0.5cm范围做梭形切口,切除部分左侧大阴唇皮肤及皮下切口。
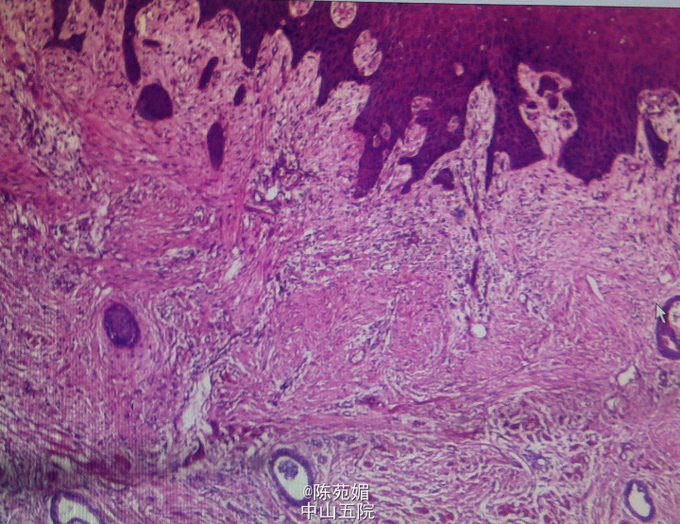
术后病理示:组织被覆鳞状上皮增生、增厚,部分角化过度伴角化不全,上皮角下延,上皮下纤维组织增生,少许淋巴细胞等炎性细胞浸润。


