下载或打开 医联APP 查看完整评论
立即下载
打开APP
主诉:重物砸伤致右足疼痛伴活动受限2小时; 病史:患者不慎被重物砸伤右足,即感疼痛,活动受限,不能行走,不办皮肤破溃及活动性出血。
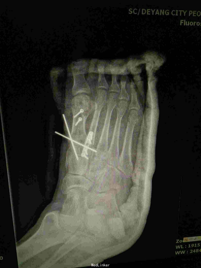
查体:右足畸形肿胀,足背少许擦挫伤,无开放性伤口,明显压痛,右足远远端感觉及血运可。 x片:右足第1、2跖骨基底部骨折,第3跖骨基底部可疑骨折; ct:右足第1~4跖骨骨折。




诊断:右足第1、2跖骨粉碎性骨折;右足lisfrance损伤; 治疗:石膏固定,消肿止痛,行右足跖骨骨折切开复位内固定,第1跖骨钢钉及克氏针固定,第2跖骨钢板固定。


术后好转出院。 请问本病例更好的治疗方案?