患者老年男性,72岁。以“结肠癌术后4年,烧心伴恶心呕吐6个月”为主诉入院 。现病史:患者2011年7月因肠梗阻急诊于我院行右半结肠ca根治,手术顺利,术后随访。2012年3月PET-CT(图1)提示:十二指肠前方淋巴结,2cm,考虑转移。肿瘤标志物肠癌系列升高。给予患者化疗治疗8个疗程,Xelox方案。患者肠癌系列较前有下降,但未降至正常,腹腔内淋巴结未有明确改变。患者无腹痛腹胀,无恶心呕吐。定期复查。2014-9复查CT(图2):右上腹肠管吻合口形态较前未见明显变化。十二指肠水平段前上方结节较前增大,约3.1cm×3.0cm,边缘模糊,与邻近肠壁及胰头分界不清。考虑肿物较前增大。未特殊处理,增强免疫力治疗。2015-3予以肿瘤科放疗治疗。治疗后,肠癌系列正常。CT:结节较前缩小。放疗后患者出现频繁恶心呕吐,不能进食,呕吐物为唾液,无明显食物,无营养状态下降。行胃镜检查:胃窦部溃疡,1*1cm,无幽门部变形。病理:低分化上皮内瘤变。但患者无烧心,不能除外精神因素呕吐。三个月前予以留置空肠营养管,肠内营养及经口进食。此次再次出现烧心,恶心呕吐,予以耐信口服治疗症状无好转,来诊。既往糖尿病10年。行心脏射频消融手术。


查体:腹部平坦,腹部正中可见一纵行切口长约20cm手术瘢痕,愈合良好。下腹部未见胃肠型及蠕动波,全腹软,未触及包块,无压痛、无反跳痛及肌紧张,肝脾未触及,叩诊鼓音,移动性浊音阴性,肠鸣音4次/分。
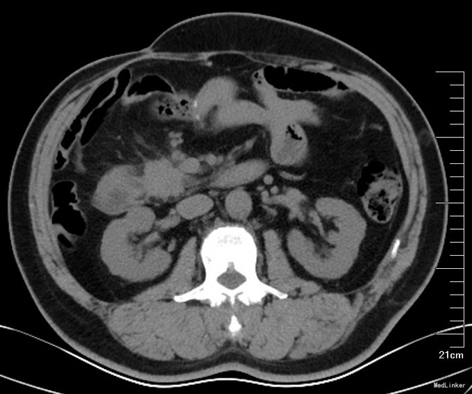
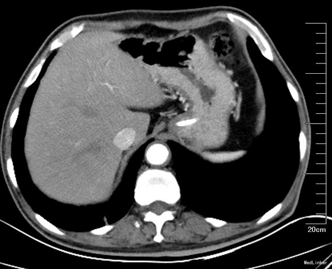
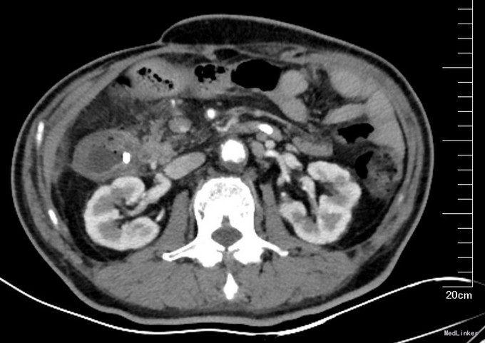
入院后,复查全腹增强CT(图3,图4):结节较前缩小。胃壁增厚。肠癌系列正常。行PET-CT:1、原右肾门水平十二指肠前方FDG高代谢软组织影区域本次扫描代谢未见显著增高,符合治疗后改变。2、右肺上叶多发磨玻璃影,FDG代谢略高,注意重度不典型增生,3、胃窦远端FDG代谢略升高,目前考虑炎症可能大,需密切结合镜下及病理;十二指肠管壁增厚伴周围多发渗出,炎性改变可能大。胃镜:窦前壁近幽门管可见一溃疡性病变,大小约1.5*2.0cm,表面白苔,周围粘膜充血水肿。幽门口变形,收缩舒张不良。十二指肠球部粘膜充血,球后黏膜光滑、色泽正常。此次病理:胃溃疡性病变,局部腺体轻度非典型增生,幽门螺杆菌阴性。上消化道造影(图5):胃窦部变形,胃壁略僵硬。 考虑患者胃窦部病变不能除外恶性。同时肺内病灶不能除外恶性。考虑为肿瘤的复发及远隔转移,手术治疗效果不佳,予以口服化疗药物治疗。空肠营养管建议终身携带,帮助增强营养,如患者不耐受,可以改为内镜下经胃造瘘空肠营养管(PEJ)。随访。



讨论:肿瘤患者复发后的治疗一直是临床的热点及难点。什么时候再次手术,放疗,化疗?时机的选择?患者术后因家属意愿没有立即行化疗治疗,但术后随诊很规律。术后7个月,发现术区附近区域的淋巴结复发和转移,予以化疗治疗。但化疗效果不明显,肿瘤未有明显增大。化疗结束后继续观察。术后4年,肿瘤增大,选择放疗治疗。放疗效果很明显,肿瘤标志物下降,肿物变小。现在患者出现消化道症状,胃转移或胃癌原发,此时什么方案最适宜?针对该患者,我们选择了保守对症治疗。解决进食问题,加强营养,可以服用口服化疗药物。