打开应用

线状汗孔角化病

伍医师   上海市第一人民医院
角化病

主诉 病史

患者,女性,41岁,右下肢皮疹多年。无明显自觉症状。

查体 辅查

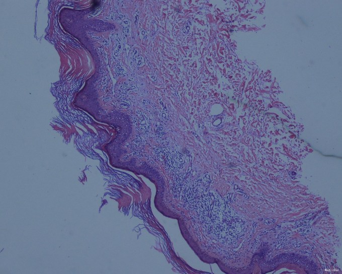
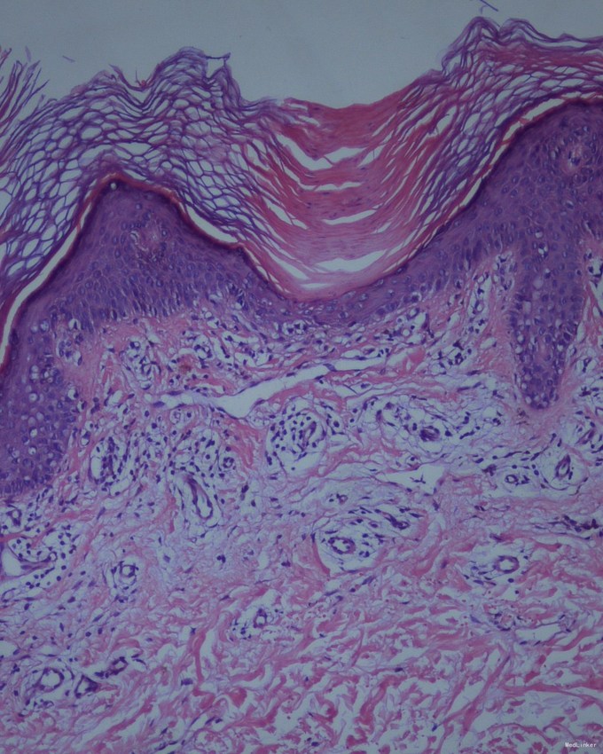
查体:右下肢自臀部自足背外侧,线状分布褐色角化丘疹,融合。 病理:取角化隆起的部位做检查,可见特征性的改变。在角质层内有一楔形的鸡眼样板,它是一个由角化不全细胞所组成的细胞柱,在鸡眼样板下方的颗粒层减少或消失,棘细胞层内有胞浆嗜酸性染、核深染的角化不良细胞。

诊断 处理

诊断:线状汗孔角化病 治疗: 无有效治疗。鉴于线状汗孔角化有恶变可能,密切随诊。

随访 讨论

汗孔角化病是一种少见的、遗传性的慢性进行性角化不全性皮肤病。以边缘堤状或疣状隆起、中央轻度萎缩、组织学上存在角质样板层为特点。 1.经典的Mibelli型汗孔角化症 该型罕见,常起病于婴儿或儿童,经过数年后缓慢扩大,常为局限性、单侧分布。 损害开始为小的、棕色、角化性丘疹,逐渐扩大形成规则和环形斑块伴有界清、高起的角化性疣状边界。边界常高于1mm,包含线状沟。中心多呈萎缩性、无毛发且无汗,伴有色素沉着或脱失。直径从几毫米到数厘米的数个损害。以四肢肢端、臀部和外生殖器常见。也见于面部和口腔,可累及至掌跖。一般无自觉症状。 2.浅表播散型(DSP)和播散性浅表性光线性汗孔角化症(DSAP) 较多见,较其他型皮损泛发,主要累及四肢,对称性分布,少见于掌跖、黏膜等。皮疹常于30~40岁出现,表现为无症状或轻度瘙痒的角化性小丘疹,直径2~7mm不等。颜色为肤色至粉红色或红色。随病情进展,皮损呈放射性扩展,中央陈旧性萎缩,外围形成边界清楚、略隆起、有沟槽的角化边缘。 DSAP仅见于曝光部位,最常累及膝关节以下的腿部,面部罕见。夏季诱发加重。皮损边缘较小,不包含裂隙。 3.掌跖播散型汗孔角化症(PPPD) 不常见,皮损与Mibelli型汗孔角化症相似,但皮损更小,且边缘角化较轻。常于儿童期或青春期发生,损害首先见于掌跖,随后向四肢、躯干及黏膜在内的任何部位扩散。无症状或轻度瘙痒。 4.单侧线状型汗孔角化症 通常出现于婴幼儿。皮损外观同经典的Mibelli汗孔角化症的一个或多个斑块,但皮损常沿Blaschko线排列,肢端最常见。需鉴别疣状线状表皮痣。 5.斑点型汗孔角化症 因皮损小,临床上最难识别。通常表现为青春期或成年后掌跖出现的种子样边缘隆起的角化小丘疹。需注意与点状角皮病、毛囊角化病、多发性错构瘤综合征及砷角化病鉴别,但病理活检可见本病特征性的圆锥形板层有助于确诊。 6.显著角化过度型 皮损发红,中心区增厚及边缘角化过度明显,其他同经典斑块型。 7.炎症角化型 皮损类似老年角化病,并可发生破溃、结痂的增生性炎症反应而使外观似鳞癌。 8.丘疹型 为2~4mm大褐红色形态不规则的丘疹,可有融合现象,部分区域见汗孔角化症的典型损害。 9.疣状斑块型 多见于青壮年臀部等易受压或摩擦部位,表现为疣状增生性丘疹或斑块,皮损面积大,遗传史可不明确,但有特征性组织病理——角质层内可见由角化不全细胞组成的“鸡眼样板”。 10.混合型 同一病人除有经典斑块和浅表播散性皮损外,还存在结节等缺乏本病特征的皮损。

发布于 15-11-21 15:53

22 个评论

发送