主 诉:左侧人工全髋关节置换术后12年左髋部疼痛活动受限1年。现病史:12年前患者因左髋部骨折于郑州市中心医院行左侧人工全髋关节置换术,术后患者恢复好。1年前无明显诱因出现左髋部疼痛,左髋关节活动受限,休息时疼痛减轻站立行走后疼痛加重。为进一步治疗,今入我院求治。经检查后以“左侧人工全髋关节置换术后假体松动”为诊断收入我科。发病以来,神志清楚,精神尚可,无恶寒发热,饮食、大小便正常,睡眠可,体重无明显变化。
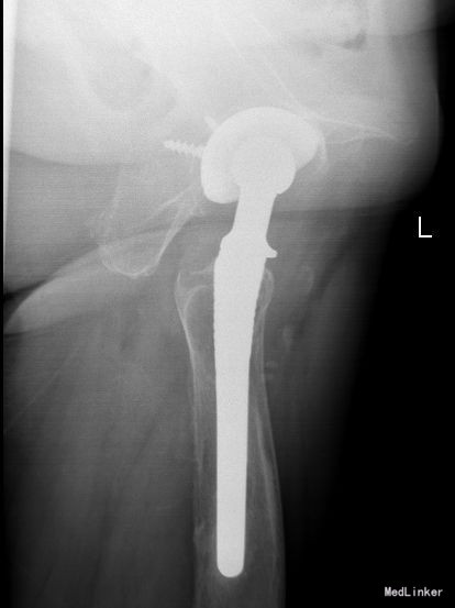
望:神志清,精神尚可,面色微黄,营养良好,体型中等,舌红,苔薄黄;闻:语声重浊,呼吸均匀,未闻及特殊气味;切:脉弦紧。蹒跚步态,跛行步入病房。左髋部前外侧见一弧形切口瘢痕长约18cm,双下肢不等长,左侧较对侧缩短约1cm,左大腿肌肉萎缩,左腹股沟饱满,局部压痛,左髋关节活动度:屈曲90°-30°后伸,外展内收45°,外旋40°,内旋50°,四字征阳性,纵向叩击痛阳性,左髋部外展肌力Ⅲ级,右髋部外展肌力Ⅳ级,左髋部屈髋肌力Ⅲ级,右髋部屈髋肌力Ⅳ级。腰椎后凸侧弯畸形,腰椎活动受限,卧床翻身困难,腰椎棘突及棘突间隙未查及压痛及放射痛;双下肢皮肤感觉无异常,双下肢末梢血液循环可。X线检查:左髋臼股骨头、颈为假体替代,位置可,假体柄与周围骨质吻合,假体髋臼上缘见螺钉状金属内固定影。


中医诊断:1、左侧人工全髋关节置换术后假体松动(肝肾亏虚); 2、骨痿; 3、腰椎退变; 4、十二指肠溃疡; 5、双眼白内障术后; 西医诊断:1、左侧人工全髋关节置换术后假体松动;2、重度骨质疏松症; 3、腰椎退变; 4、十二指肠溃疡; 5、双眼白内障术后; 诊疗计划:1、择期手术治疗; 2、中医辨证论治:根据骨伤科三期辨证理论,早期因瘀血停滞,故以活血化瘀,消肿止痛为主,应用桃红四物汤;中后期补益肝肾,补气养血,应用愈骨胶囊等药物应用。现患者属于早期,可运用桃红四物汤加减对症治疗,方药如下: 桃仁10g 红花10g 当归12g 川芎12g 赤芍12g 穿山甲6g 柴胡12g 黄芩10g 香附12g 延胡索15g 续断15g 生地12g 甘草6g 3剂 用法:每日一剂,水煎服400ml,分早晚两次温服。 3、中医调护:避风寒,慎起居,忌生冷,畅情志。

术后复查X线片示假体位置良好,固定牢靠。根据中医辨证论治:患者肝肾亏虚,筋骨不通,骨失充则骨蚀增生,筋失养则筋萎挛缩,关节屈伸不利,疼痛,舌质淡,苔白,脉弱,主虚,证属“肝肾亏虚”,术后兼有气滞血瘀,治疗滋补肝肾、佐以活血化瘀药物口服。术后嘱患者中医调护:避风寒,调饮食,慎起居,畅情志;保持切 口清洁,预防感染,注意饮食营养,多吃蔬菜、水果及含蛋白质高的食品,不能进食辛辣刺激类食物。继续口服药物治疗。继续抗炎、抗凝、抗骨质疏松治疗,预防关节术后并发 症;如遇身体局部及全身感染,及时就诊,继续口服利伐沙班或阿司匹林预防血栓性疾病。药物对症处理,适当功能锻炼,主动被动进行关节的 伸直,弯曲,直腿抬高训练,促进关节功能恢复;积极治疗内科基础病,控制血压,预防内科并发症,复查切口愈合情况。避免跪姿,跑跳,深蹲等剧烈活动,按时复诊;助行器使用到复查。不适随诊。本病例中医药应用结合手术治疗,可迅速缓解患者症状,恢复患肢功能,加快术后恢复,可使患者获得满意的术后疗效。