下载或打开 医联APP 查看完整评论
立即下载
打开APP
打开应用
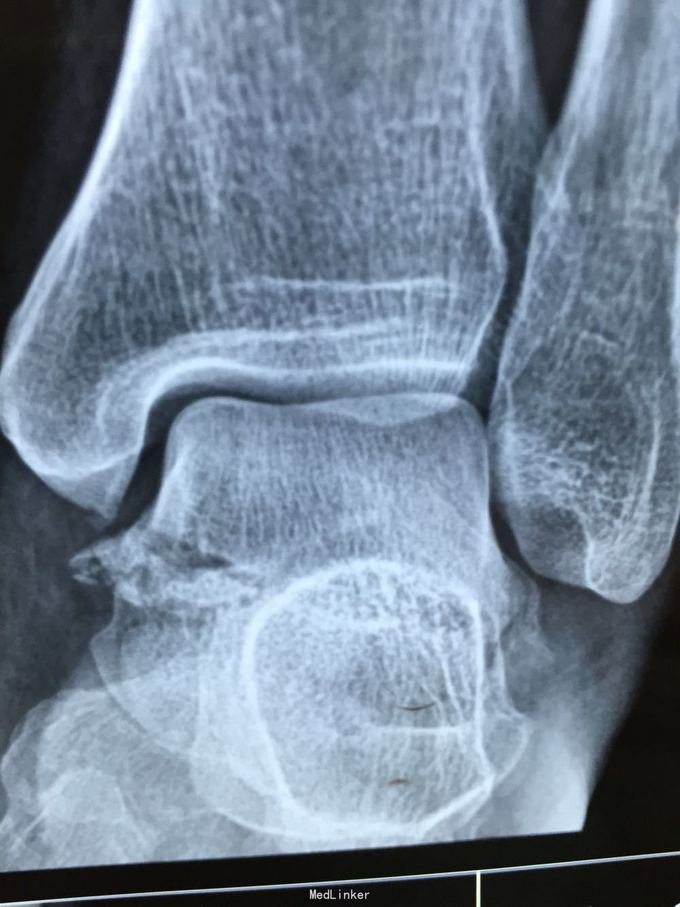
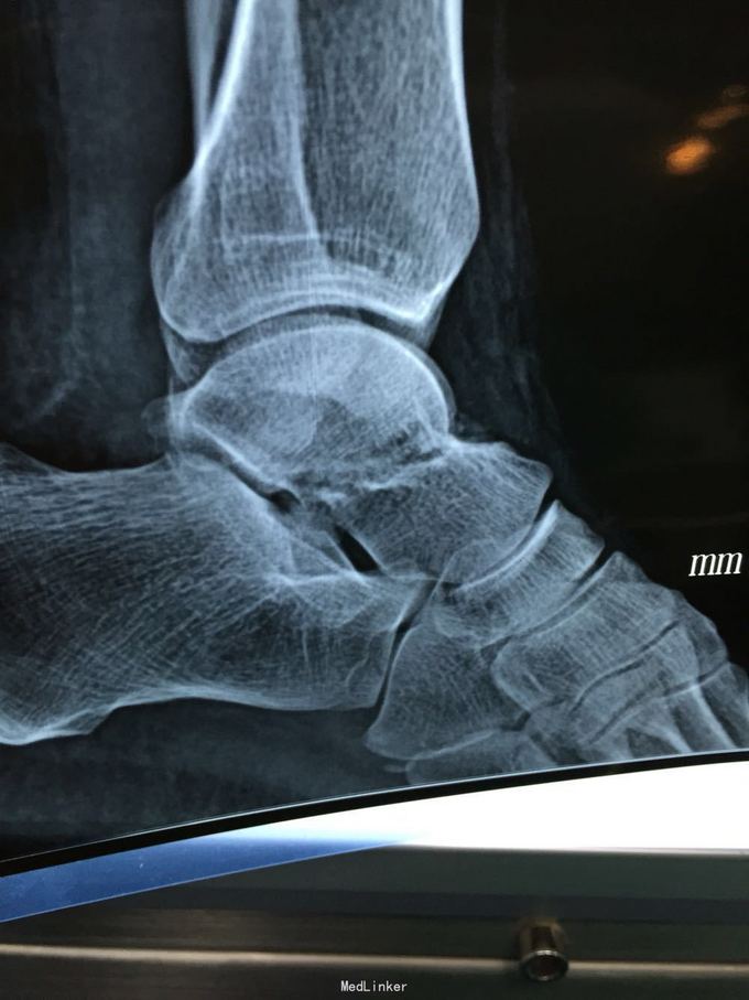
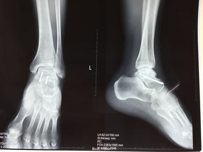
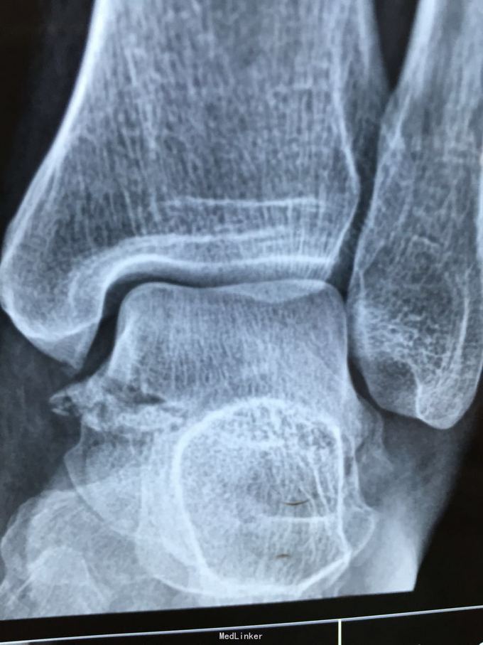
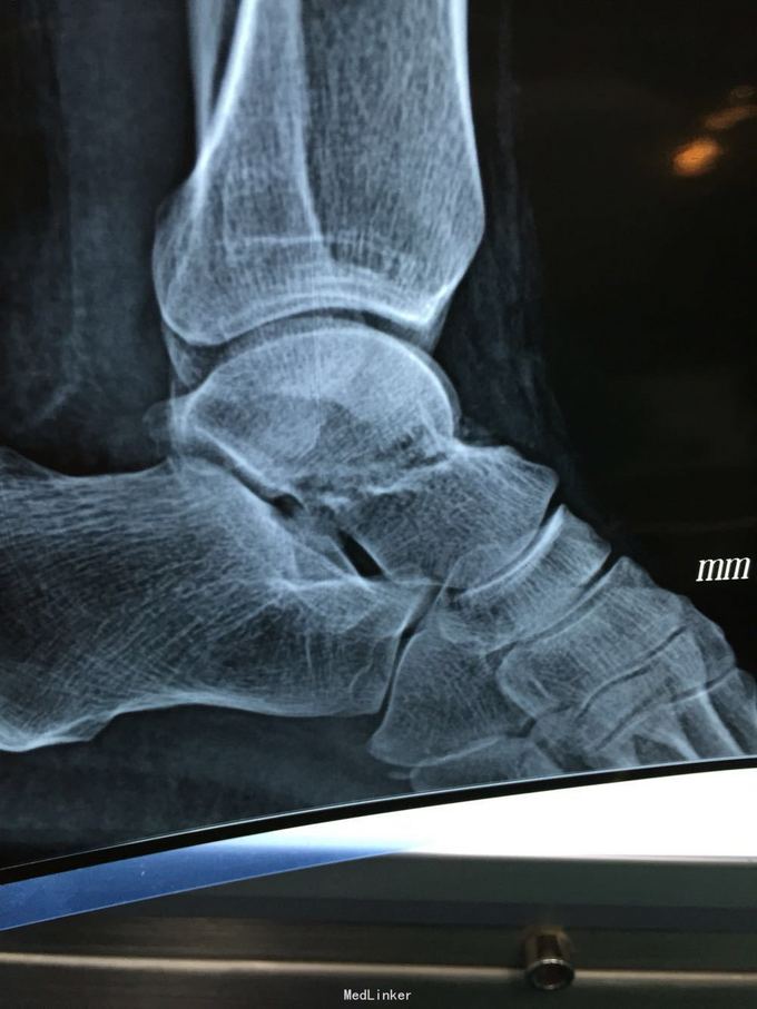
距骨骨折
金堂用户
金堂县第一人民医院
骨折
距骨骨折
主诉 病史
患者因车祸致左足疼痛1小时入院
查体 辅查
左足背肿胀明显,压痛
诊断 处理
左距骨骨折
发布于 15-11-18 19:46
医联推荐你看
距骨骨折
距骨骨折
距骨骨折1例
共
4
个评论
查看更多评论
发送
0