下载或打开 医联APP 查看完整评论
立即下载
打开APP
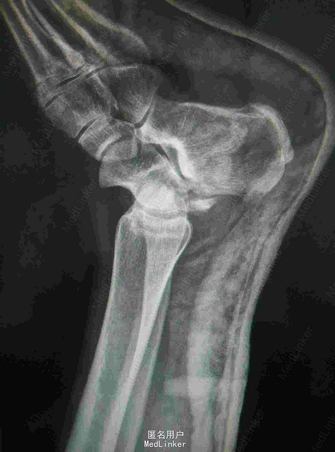
患者外伤致左踝关节疼痛肿胀,活动受限2天 患者中年女性,因外伤致左踝关节疼痛肿胀,伤后即无法站立,踝关节活动受限,于当地医院石膏外固定后入我院。
查体:左踝关节肿胀明显,局部皮肤压痛,无皮损及皮下淤斑,踝关节活动受限,各足趾感觉正常,足背动脉搏动存在。 辅查:我院CT提示距骨、足舟骨、跟骨骨折





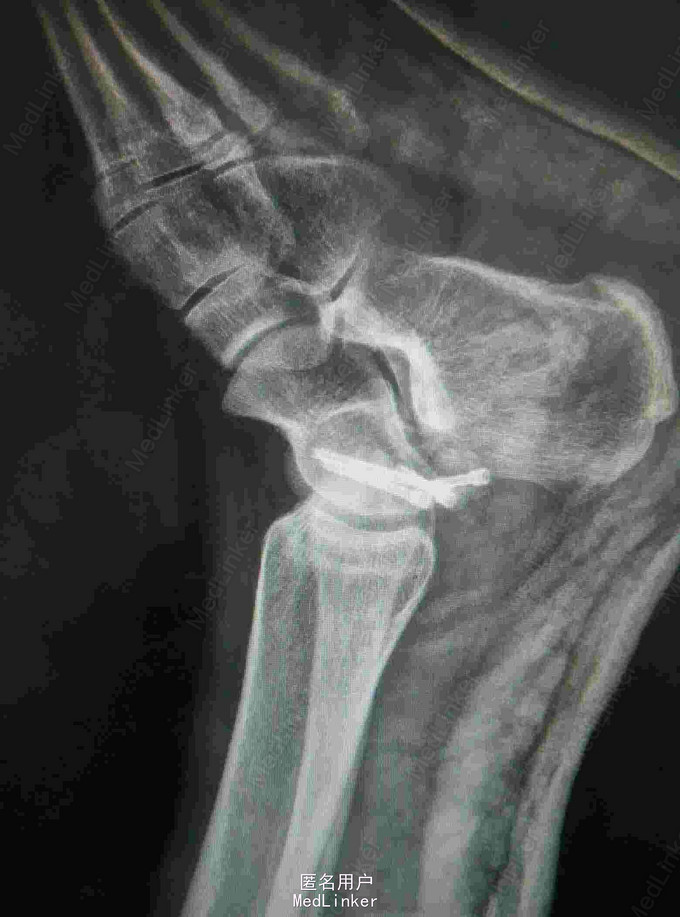
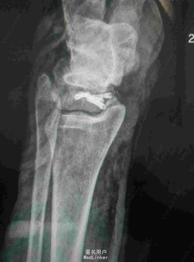
诊断:左足距骨、足舟骨、跟骨骨折 治疗:距骨骨折切开复位内固定术


随访:石膏固定4-6周,3月内禁止负重,定期复查。 讨论:患者X线片对左足骨折显示不够清楚,基本常规行CT,可以看到明显的距骨骨折,累及关节面,需手术复位关节面。足舟骨以及跟骨骨折未明显移位保守处理。