下载或打开 医联APP 查看完整评论
立即下载
打开APP
患者,女,36岁。1年前在外院B超提示:左侧输尿管上段扩张,左侧肾盂积水。近来感左侧腰部胀痛来院就诊。
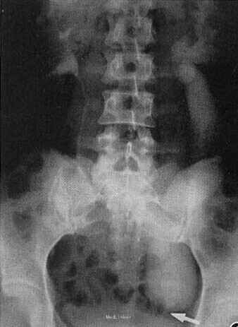
彩超提示:左肾结石伴左肾中度积水;左输尿管全程囊状扩张。X线平片:两肾区、输尿管及膀胱区域内未见不透 X线结石影及异常钙化影。静脉肾盂造影(IVU):静脉注射76%泛影葡胺40ML 后,分别摄7min ,15min两肾区加压片,右侧肾盂、肾盏显影正常;左侧肾盏轻至中度扩大、积水,左肾盂未见显影。解压后 30min、50min ,90min各摄片,右侧输尿管对比剂排泄顺利,左侧肾盂、上段输尿管直至盆腔段输尿管对比剂由淡变浓自上而下缓慢充盈,左侧肾盂、输尿管全程扩大积水。120min摄片;左侧输尿管入膀胱处见一长约2cm狭窄段,近狭窄处输尿管管腔扩张明显,宽径5.2cm。IVU报告:左侧巨输尿管及左侧肾盂肾盏中度扩大积水。

左侧巨输尿管及左侧肾盂肾盏中度扩大积水。手术切除狭窄段输尿管并重建输尿管与膀胱接口。
随着影像学检查技术的发展,先天性巨输尿管在临床上并不十分少见。然而在缺乏CT 和 MRI等先进设备的基层医院,如何利用传统的IVU检查技术来显示肾、输尿管全程的解剖形态,以明确诊断是十分必要的。如本例利用双剂量(也可用大剂量)对比剂,耐心地利用延时摄片时间,不仅显示了左侧输尿管扩张的全貌,同时还显示出输尿管末端的狭窄,从而明确了诊断,既减少了患者的痛苦,也节省了患者的费用。