打开应用

肝脏结核病例一例

何医师   中国医科大学附属盛京医院
炎性假瘤

主诉 病史

男患,17岁。以“肝脓肿引流术后5月,发热2天。”为主诉入院。 现病史:患者5月前无明显诱因出现发热,体温39-40摄氏度之间,伴乏力、消瘦,行上腹CT+增强,结果回报:肝脓肿可能大。行经皮肝脓肿穿刺引流术,手术成功,术后恢复较好,病理未见肿瘤细胞。出院后引流一直不多。复查CT病灶仍存在。患者2天前发热加重,38℃,脓肿引流液现为脓性。

查体 辅查

查体:T36.5℃,84次/分,R18次/分,Bp126/72mmHg,腹部无压痛、无反跳痛及肌紧张,见留置引流管,肝脾肋下未触及,听诊肠鸣音正常,4次/分,移动性浊音(-),四肢活动良,双下肢无水肿。

诊断 处理

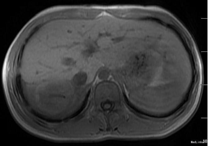
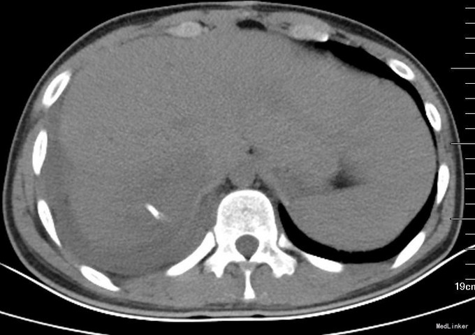
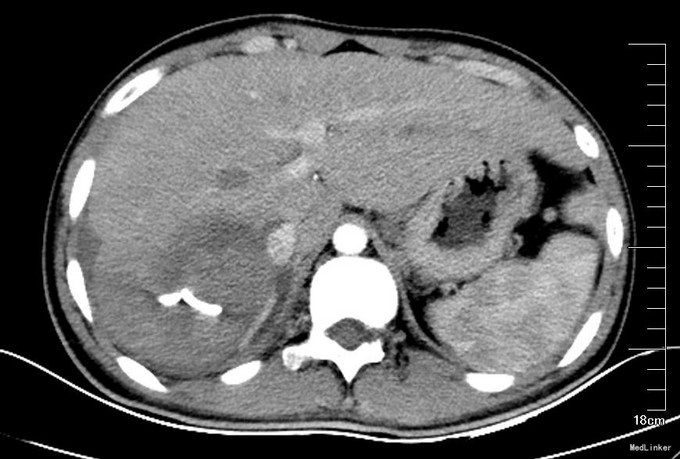
患者术前CT因为外院检查,未得以资料。介入术后17天复查CT(图1):可见引流管留置,肝右后叶占位,6*4cm,实性为主。术后2个月行肝脏增强CT复查(图2):肝右后叶病变,液性区域不多。术后5个月再次行MRI(图3):肝右后叶占位,实性部分占大部分,且与其他肝脏各段似有分界。考虑穿刺引流不能达到消除病灶。行外科手术治疗。手术方案为:肝部分切除,完整切除占位(图4)送冰冻病理回报:炎性假瘤,伴肉芽肿病变。术后患者恢复良好,出院。石蜡病理:考虑结核。

随访 讨论

该患治疗过程不复杂。主要是疾病较少见。患者临床症状及检查首选诊断为肝脓肿。对于肝脓肿,可采用外科切除与介入抽吸治疗。外科手术损伤大,故介入治疗为首选。肝脓肿属于良性疾病,整体预后较好。该患者特殊在于:脓肿液化部分较少,病情实性部分一直没有继续液化。所以仍应考虑为占位病变,需行手术切除。切除病理证实结核。对于临床怀疑肝脓肿的患者需要多加思考,实性为主的占位穿刺取病理,如引流效果不佳需要外科手术干预。

发布于 15-11-15 21:27

0 个评论

暂无评论
发送