病史:女性,41岁,肝区不适伴反复双肾区疼痛1年。
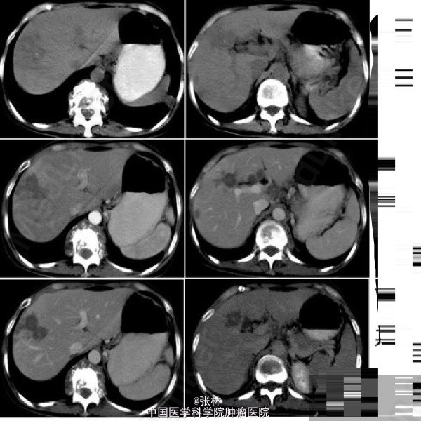
上腹CT:肝内多发斑片状或类圆形灶状密度异常,占位效应不明显,边界模糊,平扫呈不均匀稍低密度,局部可见点状高密度钙化影。增强扫描:动脉期病变周围正常肝实质可见片絮状轻度一过性强化,病变内部可见强化的小血管影;静脉期病变呈低密度影,内部无明显强化;延迟扫描病变范围缩小,周边轻度强化。 影像检查发现:T10至L1椎体破坏,并冷脓肿形成;左下肺结核。
临床诊断:肝结核、脊柱结核、肺结核。予以规律抗结核治疗。

肝结核 Hepatic tuberculosis 肝结核是一种少见病,且多继发于其他器官结核的播散。 发生在肝实质的结核大致可分为:粟粒型、结节型和混合型。 (1)粟粒型:较常见,为多发或弥漫粟粒状小结节灶(直径≤2cm),常为全身结核的一部分,临床诊断并不十分困难。影像学可见肝肿大和细小结节灶。对非钙化性病灶直径< 0.5 cm者,CT、MR检查大多难以发现。 (2)结节型:直径> 2 cm,较少见,由粟粒灶或细小结节灶融合而成,因易于发现而国内外文献报道多为这一类型。若结核性肉芽肿液化坏死不明显或病灶以纤维组织为主,CT表现为低密度肿块影,病灶可呈轻度边缘强化,影像学表现无特征,诊断困难。当结核性肉芽肿内钙盐沉着时,可在病灶内出现斑点状甚至“粉末状”钙化灶,有一定的特征性。 (3)混合型:即粟粒大结节型,CT表现为多发粟粒状钙化伴单发结节状低密度灶。多发不同密度改变的病灶为肝结核较为特征的CT征象。这种表现反映肝结核同时存在不同病理时期的病灶,包括结核性肉芽肿、液化坏死、纤维化或钙化。 肝结核的其他表现:腹腔淋巴结肿大;“卫星灶”;脾肿大或感染结核;肝外结核史或结核接触史。肝外结核史在肝结核的诊断中尤为重要。 患者目前规律抗结核治疗中,三药联合。暂未返院复查。