下载或打开 医联APP 查看完整评论
立即下载
打开APP
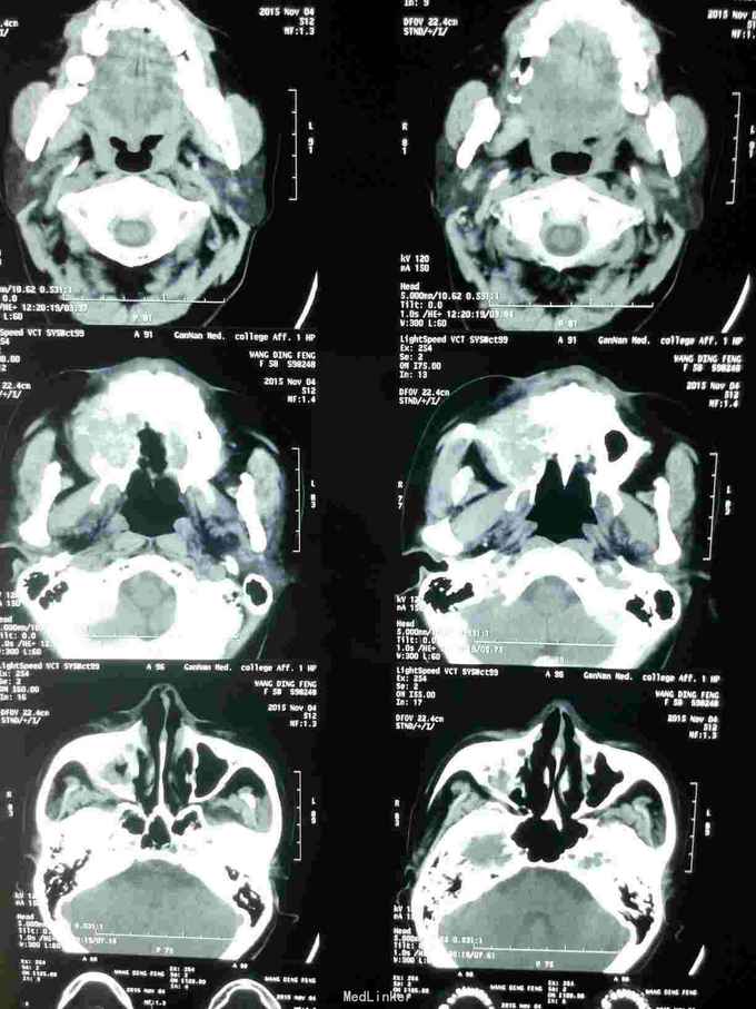
患者女,58岁,因“右上颌后区牙龈溃烂1月”入院 患者于2月前感右上颌后区麻木不适感,一月前在当地医院检查发现上颌后区牙龈溃烂,行抗炎治疗无好转。就诊于我院门诊后行病理检查提示:磷状细胞癌。

查体:心肺腹无明显异常。 专科:右上颌区颊颚侧龈、牙槽脊表面溃烂,凹凸不平,呈不规则溃疡,边缘欠佳。 辅查:CT+三围重建等,见图!






诊断:右上后牙区牙龈磷状细胞癌 治疗:右上后牙区牙龈磷状细胞癌病灶扩大切除+右上颌骨全切+右肩胛舌骨肌上淋巴结清扫术


一期肿瘤切除术患者生活质量差,望二期修复手术能够改善。 Ps:这是我在口腔科看到最大的手术