患者,男,32岁3月,因“体检发现右侧胸腔肿块15+天”入院。患者15+天前体检发现右侧胸腔肿块,不伴发热,无咳嗽、咳痰,无四肢乏力,无上肢活动困难,无头晕、头痛,无胸背部疼痛,无下肢麻木、疼痛,无心前区压痛、牵涉与放射痛。为求进一步诊治来我院就诊,胸部CT扫描可见右后上纵隔肿瘤,门诊收入我科。患病以来精神食欲睡眠可,二便正常,体重无下降。
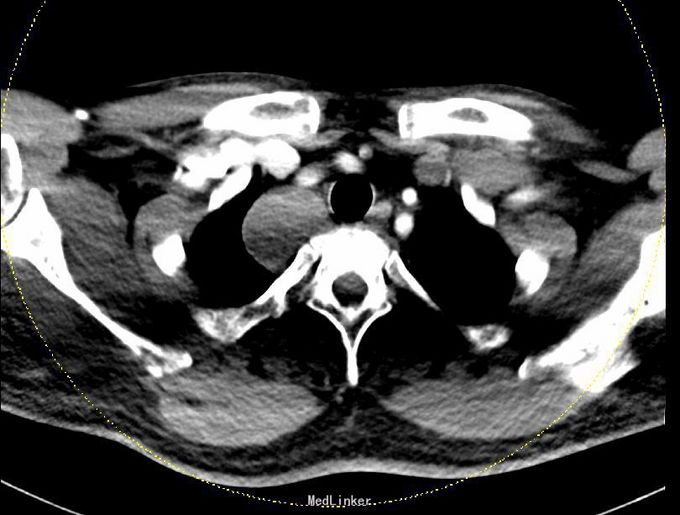
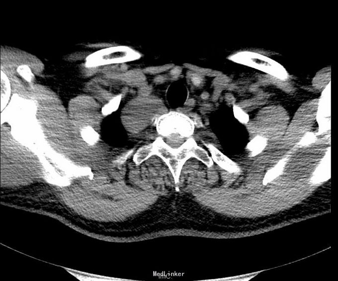
肺功能报告:MMEF轻度下降,V25中度下降,VE>10L。患者存在小气道气流轻度受限,过度通气,肺功能稍受损。 CT胸部增强扫描:右侧胸腔顶部见一大小约4.3*3.4cm软组织密度肿块,边界清楚,边缘光滑,与脊柱呈宽基底相连,增强后肿块明显均匀强化。第三肋骨可见致密结节影。意见:1、右后上纵隔占位,多系肿瘤:神经源性?淋巴源性或其他?2、心包及双侧胸膜稍增厚;3、右侧第3肋腋段致密结节,考虑骨岛可能。



诊断:1、 纵隔肿瘤(右后上,神经源性?淋巴源性?)2、脂肪肝3、脾大4、右第三肋骨骨岛形成5、右上颌窦囊肿 在全麻下右开胸右后上纵隔肿瘤切除术。术中见:1)胸内淡黄色积液50ml,无粘连;2)胸膜无种植;肿瘤对肺叶无侵犯, 肿瘤对心包无侵犯。3)肿瘤位于右后上纵隔约 4*3*3cm大小、包膜完整。4)淋巴结肿大及侵犯情况:无 5)术中冰冻结果:梭形细胞肿瘤,倾向神经源性 。6)术中特殊情况:无 完整切除肿瘤,术中出血不多,未输血,术后患者安返病房,给予对症、支持治疗。
纵隔肿块,除非是淋巴瘤,否则均需要手术治疗,没有什么特别的药物可以治疗,或者说药物只能治疗你的症状,本身肿块靠药物消不掉的。如果你刚做完手术,可以口服药物改善症状,等腿部手术恢复好后,还是选择做手术,如果肿块不大,可以考虑做纵隔镜,如果很大,还是要做开胸手术。